電話でのご予約
0596-26-08882025.12.11
その矯正治療 本当に今すぐ必要でしょうか?
矯正治療は早く始めるのが良いと考えられがちですが、あまり早く始めるのも考えものです。
特に乳歯が生えているお子さんは、生え変わりや骨格の成長に伴い、自然に歯ならびが大きく変化することがあります。
当院では、今すぐ治療が必要ではないと判断した場合、6ヶ月ごとなどの定期観察によってその経過を見守り、本当に矯正治療が必要な時期に治療開始をお勧めしています。
他院にて今すぐに治療が必要と言われていたお子さんでも、当院ではその多くの場合、定期観察になる事が結構あります。
そして、生え変わりや成長に伴い、歯ならびが自然に改善したケースもあります。
初診時7歳、かみ合わせを気にして来院
学校検診や他院にて今すぐ矯正治療を始めたほうがいいと指摘を受けた
→6ヶ月ごとのペースで経過観察
口腔筋機能を改善するために指導を行いました。

↓↓↓↓↓↓↓ 6ヶ月後

↓↓↓↓↓↓↓ 6ヶ月後

口腔筋機能 の改善だけで、気にしていたかみ合わせが自然に改善しました。
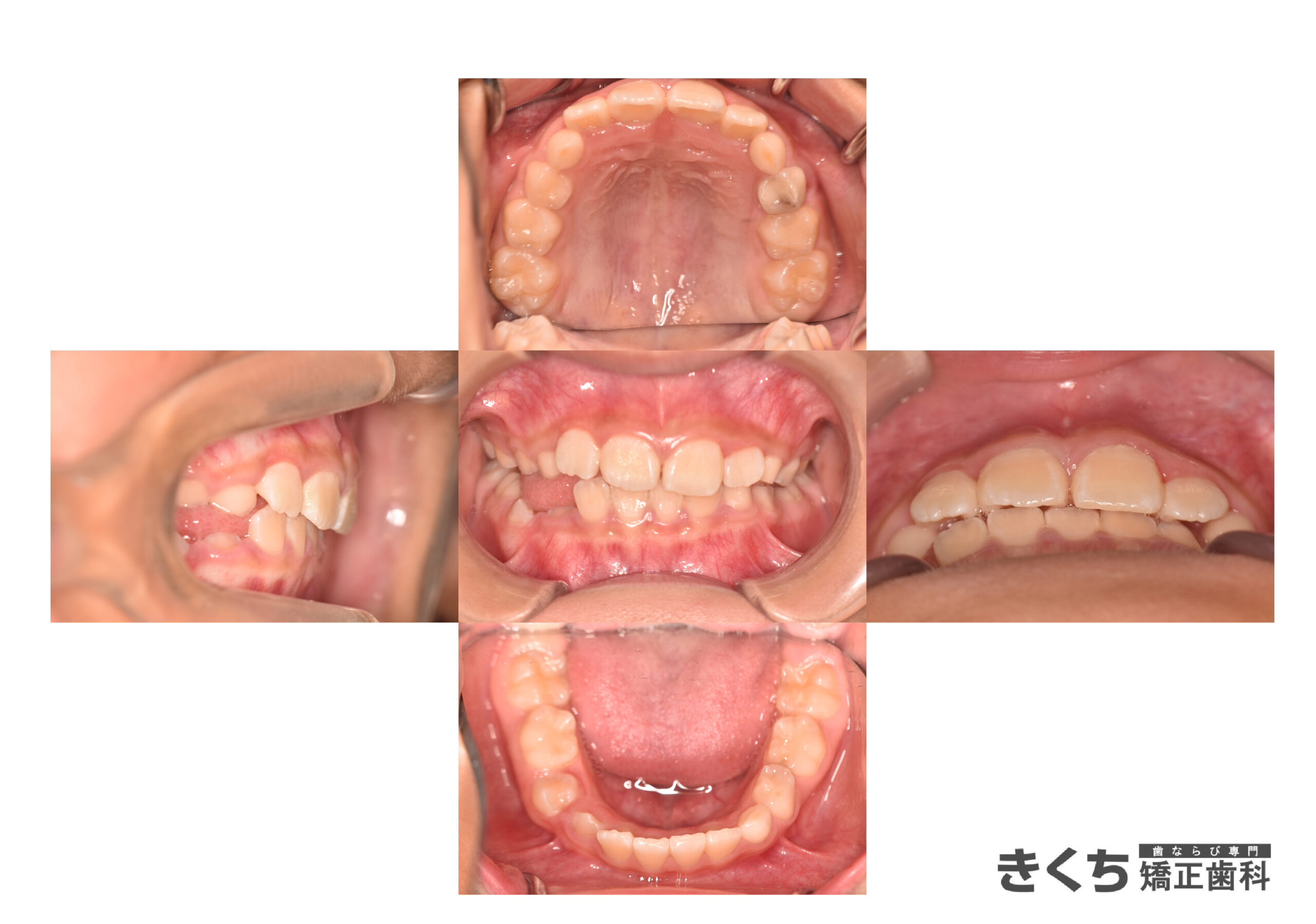
初診時9歳、かみ合わせを気にして来院
口呼吸、舌で上の前歯を押し出す癖がある
他院にて今すぐ矯正治療を始めたほうがいいと指摘を受けた
→6ヶ月ごとのペースで経過観察
口腔筋機能を改善するために指導を行いました。

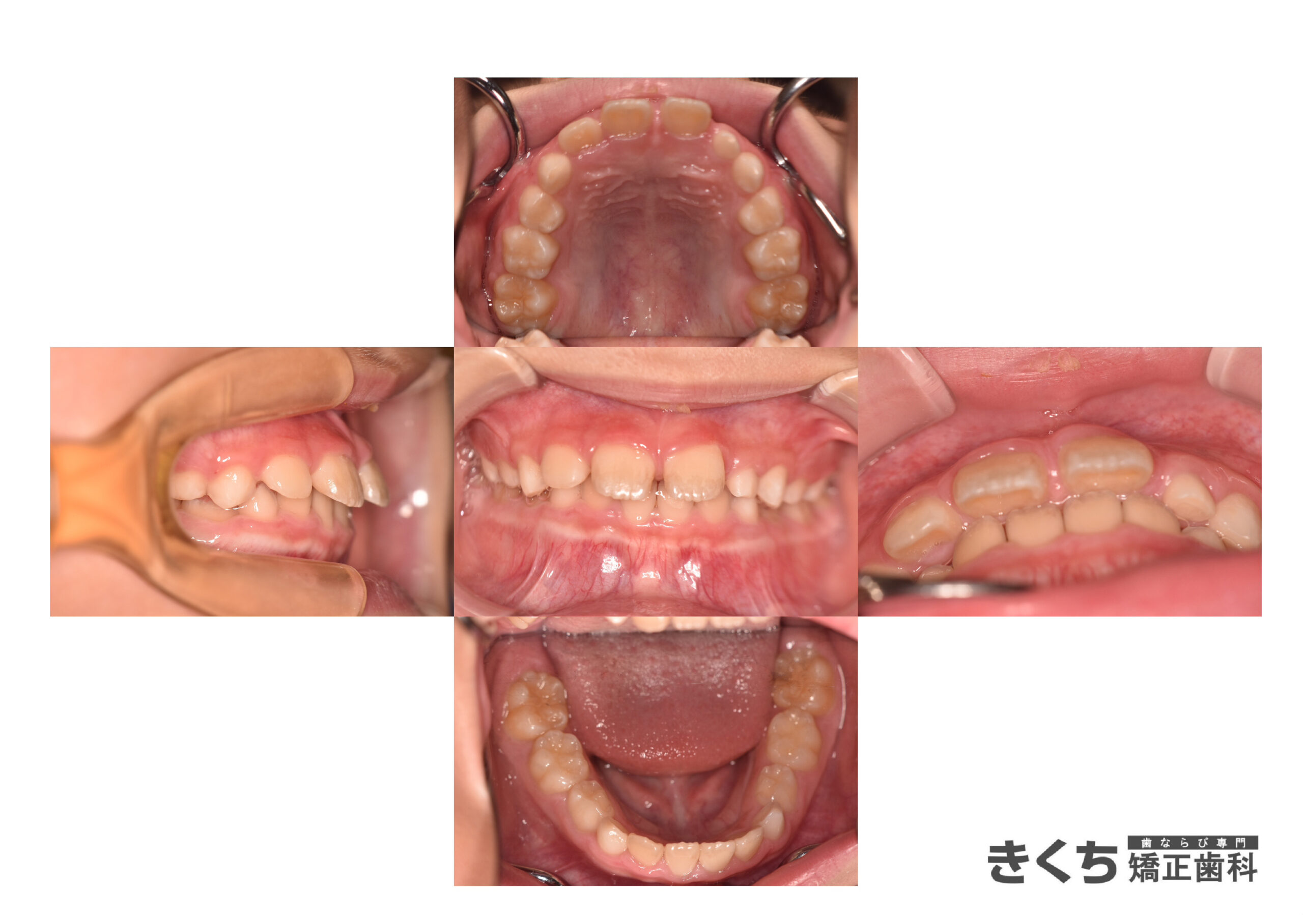
↓↓↓↓↓↓↓ 6ヶ月後

↓↓↓↓↓↓↓ 6ヶ月後

口腔筋機能 の改善だけで、気にしていたかみ合わせが自然に改善しました。
初診時8歳、上の前歯の隙間を気にして来院
他院にて今すぐ矯正治療を始めたほうがいいと指摘を受けた
→6ヶ月ごとのペースで経過観察
口腔筋機能を改善するために指導を行いました。

↓↓↓↓↓↓↓ 1年後

口腔筋機能 の改善だけで、上の前歯の隙間が自然に改善しました。
初診時7歳、下の前歯の歯ならびを気にして来院
他院にて今すぐ矯正治療を始めたほうがいいと指摘を受けた
→6ヶ月ごとのペースで経過観察
口腔筋機能を改善するために指導を行いました。

↓↓↓↓↓↓↓ 1年後

口腔筋機能 の改善だけで、下の前歯のがたつきが自然に改善しました。
このように矯正治療を一切せずに、口腔筋機能の改善だけで歯ならびが自然に改善するケースも多くあります。
低年齢での治療はお子さんの負担にもなり、治療期間も長くなりがちです。
場合によっては、経過を見守ってからでも遅すぎることはないのです。
当院では無料相談はもちろんのこと、定期観察も無料で随時行っております。
たくさんの方が定期観察で通っており、経過を見守っています。
また、セカンドオピニオンを希望し、無料相談に来られる方もいます。
(セカンドオピニオンとは、患者様が納得のいく治療法を選択することができるように、違う医療機関の医師に第二の意見を求めること)
お子さんの矯正治療を考えている方、他院にて治療を勧められた方、
伊勢市にあるきくち矯正歯科では、随時 無料相談を受け付けております。
歯ならびでお悩みの方、矯正治療をお考えの方、ぜひお気軽にご相談ください。