電話でのご予約

0596-26-0888

コラム

2025.12.10

唇、閉じてる?

お口をちゃんと閉じてますか…?
お子さんの口元よーく見てみてください!

日常生活の中で無意識に行っている「癖」が
顔や歯ならびに大きな影響を与えること、皆さんは知っていましたか?

中でも見落とされがちなのが「唇(くちびる)の閉じ方」です。

一見、唇(くちびる)をきちんと閉じているように見えても、
実は下唇(したくちびる)を軽く噛むようにして閉じているという人が少なくありません。

この小さな癖が実は出っ歯(上顎前突)の原因になることがあるのです。

「唇(くちびる)は閉じているから大丈夫!」と思っていても、よく見てみてください。
唇(くちびる)を閉じたときに、
・唇(くちびる)の形が不自然に歪んでいる
・顎にしわがよる
・下唇(したくちびる)が少し上の歯に巻き込まれるようになっている

上記の特徴が見られる場合、
下唇(したくちびる)を噛むようにして唇(くちびる)を閉じているサインかもしれません。




3人の口元に注目してみてください。口を閉じているように見えますが、よーく見てみると、


自然に口を閉じている。


少し下唇(したくちびる)を噛むようにして口を閉じていて、顎にしわが寄っている。


下唇(したくちびる)を噛んで口を閉じている。




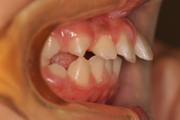
こちらは、お口の中を横から見たときの写真です。
の方に比べ、の方は上の歯がでているのが、見てわかると思います。

上記でお伝えしたように、
下唇(したくちびる)を噛むようにして唇(くちびる)を閉じていると、
歯ならびに大きく影響を与えてしまうのです。

指しゃぶりを長期間に及んでしていると、
歯ならびに影響がでると聞いたことはありませんか?
それと同様、下唇(したくちびる)を噛むという行為は指しゃぶりをしているのと変わらないのです。
当院に、出っ歯を気にして相談に来られる患者様のなかで、
下唇を噛んで口を閉じている方が大変多く見られます。

お子さんはもちろん、大人の方でも無意識のうちに
ストレスや集中のあまり、下唇(したくちびる)を噛む方は少なくありません。

その癖、放っておくと歯がどんどん前に出ていってしまうかもしれません。

当院では、このような口腔習癖(他にも指しゃぶりや爪を噛む、口呼吸など)に対しても
指導を行い、健やかな歯ならびやお口の成長をサポートしています。

どうぞお気軽にご相談ください。

top

初診相談の予約
MAILでのお問合わせ