電話でのご予約

0596-26-0888

治療例CASE

当院での治療について

治療に伴う一般的な
リスクや副作用について

患者さんには以下の矯正治療に伴うリスクや
副作用を説明し、ご理解の上で治療を行いました。

  • むし歯や歯周病
  • 歯の後戻り(歯ならびが元の位置へ戻ろうとすること)
  • 歯肉の退縮(歯ぐきがさがること)
  • 歯の失活(歯の神経が死んでしまうこと)
  • 歯根吸収(歯の根が短くなること)
  • 顎関節症 など

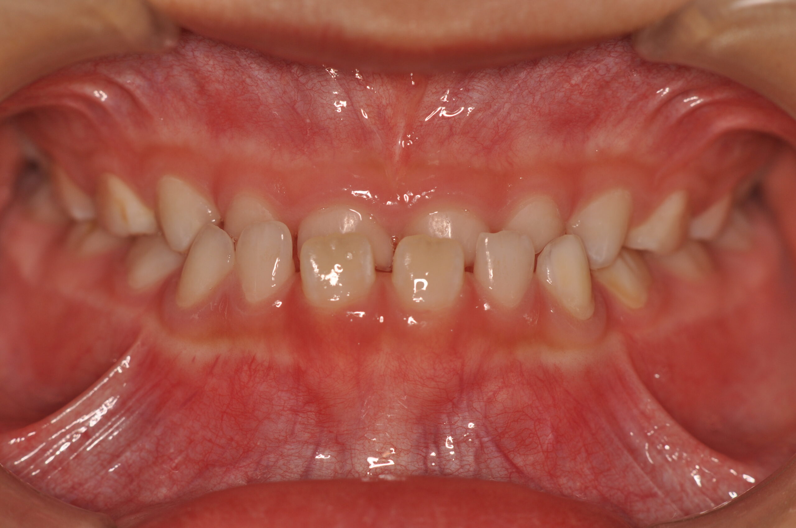
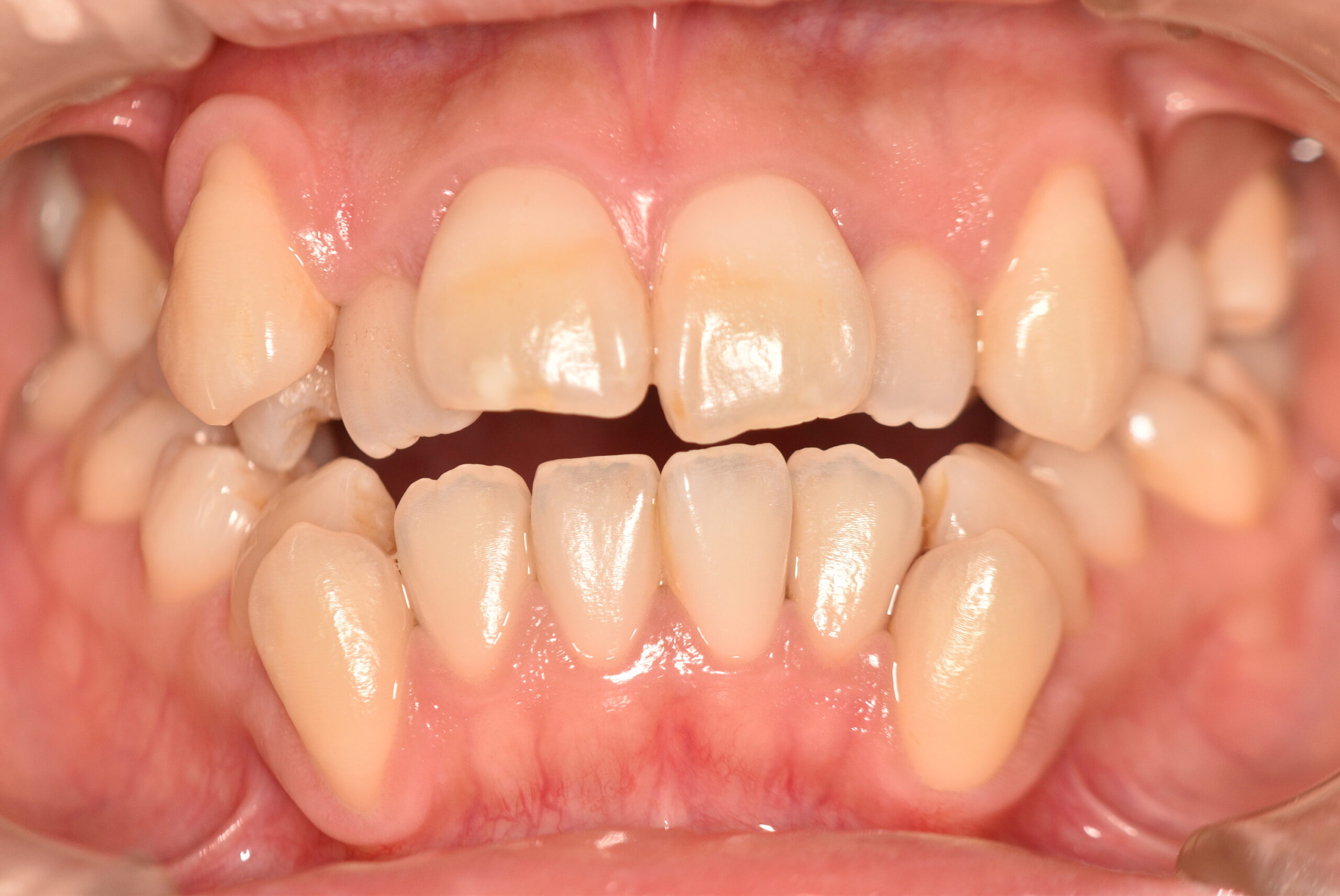
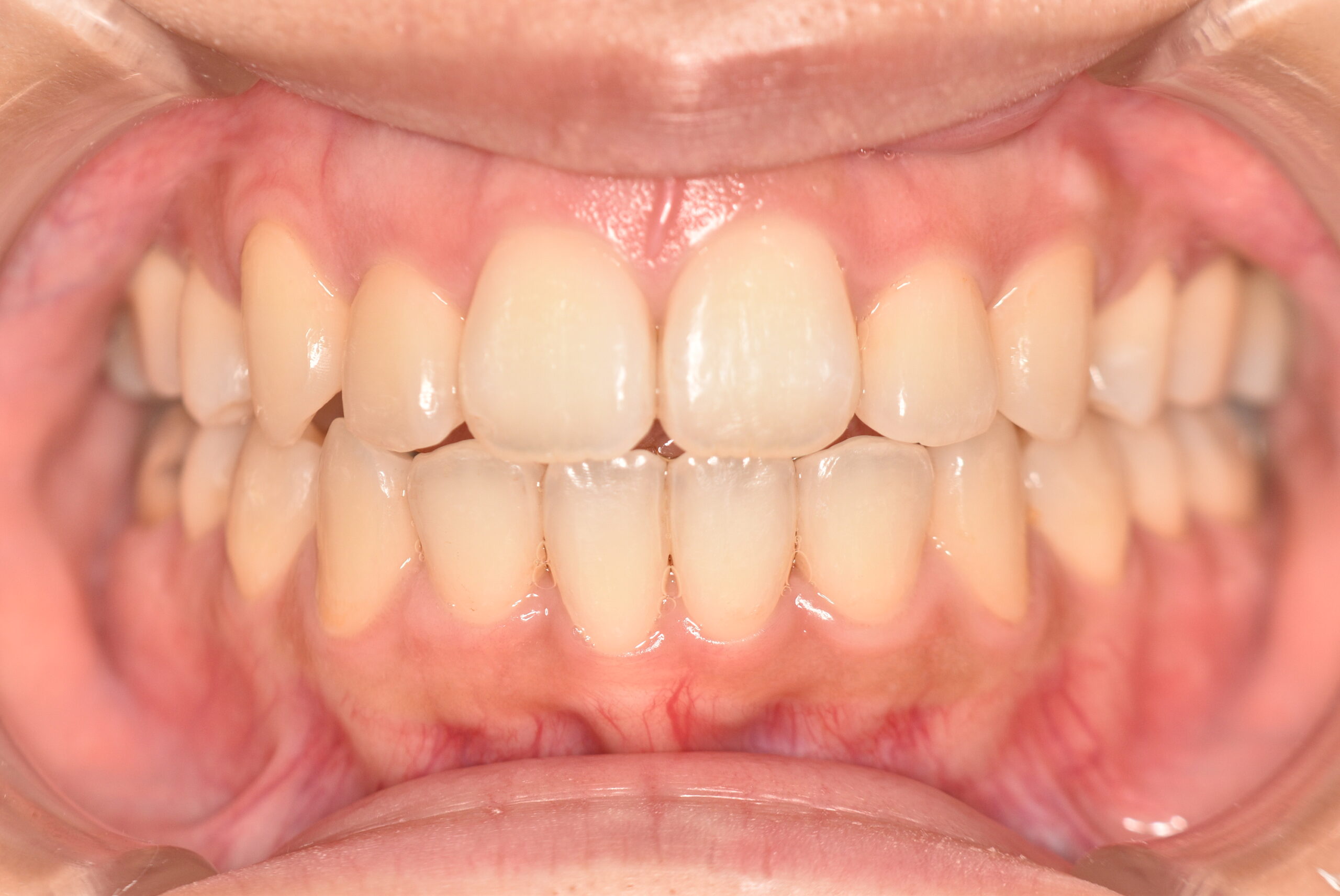
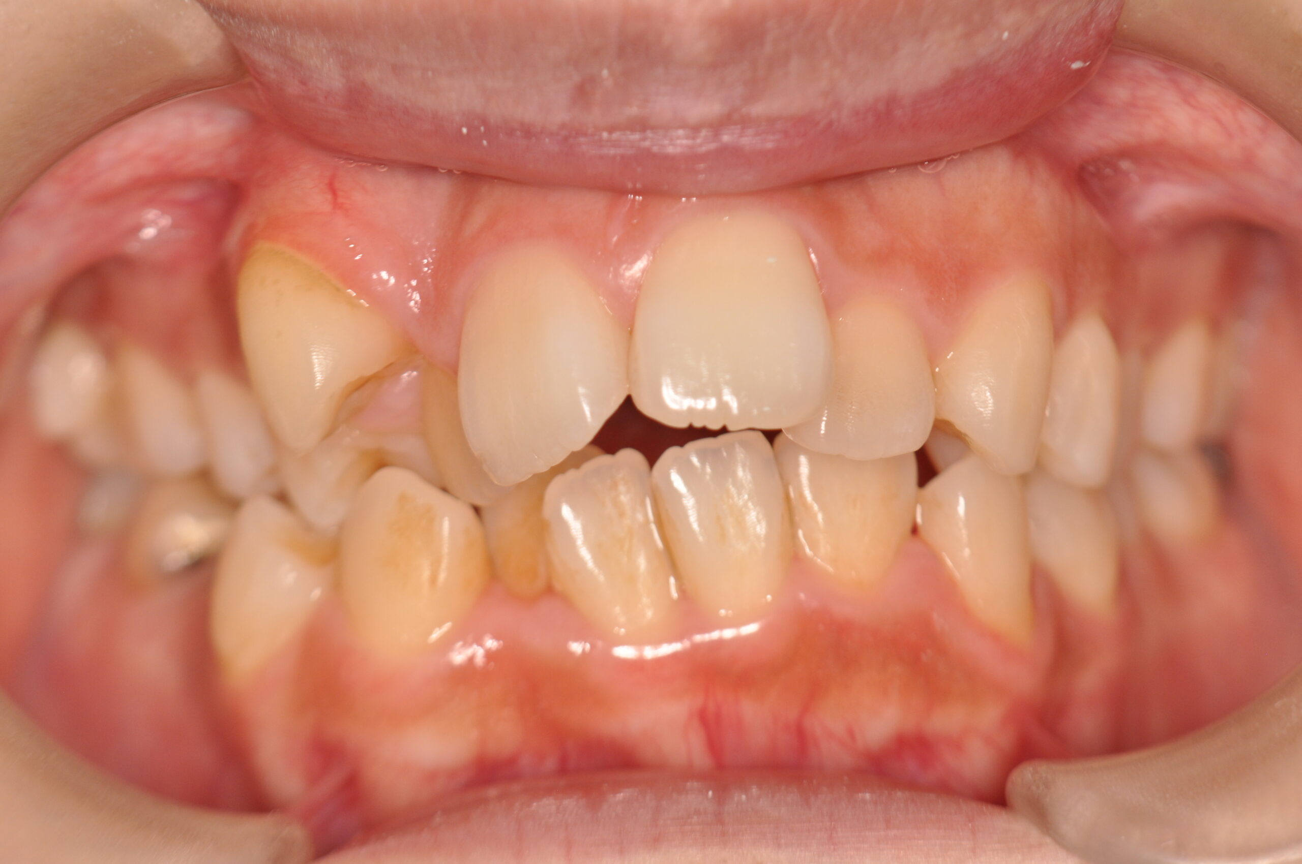
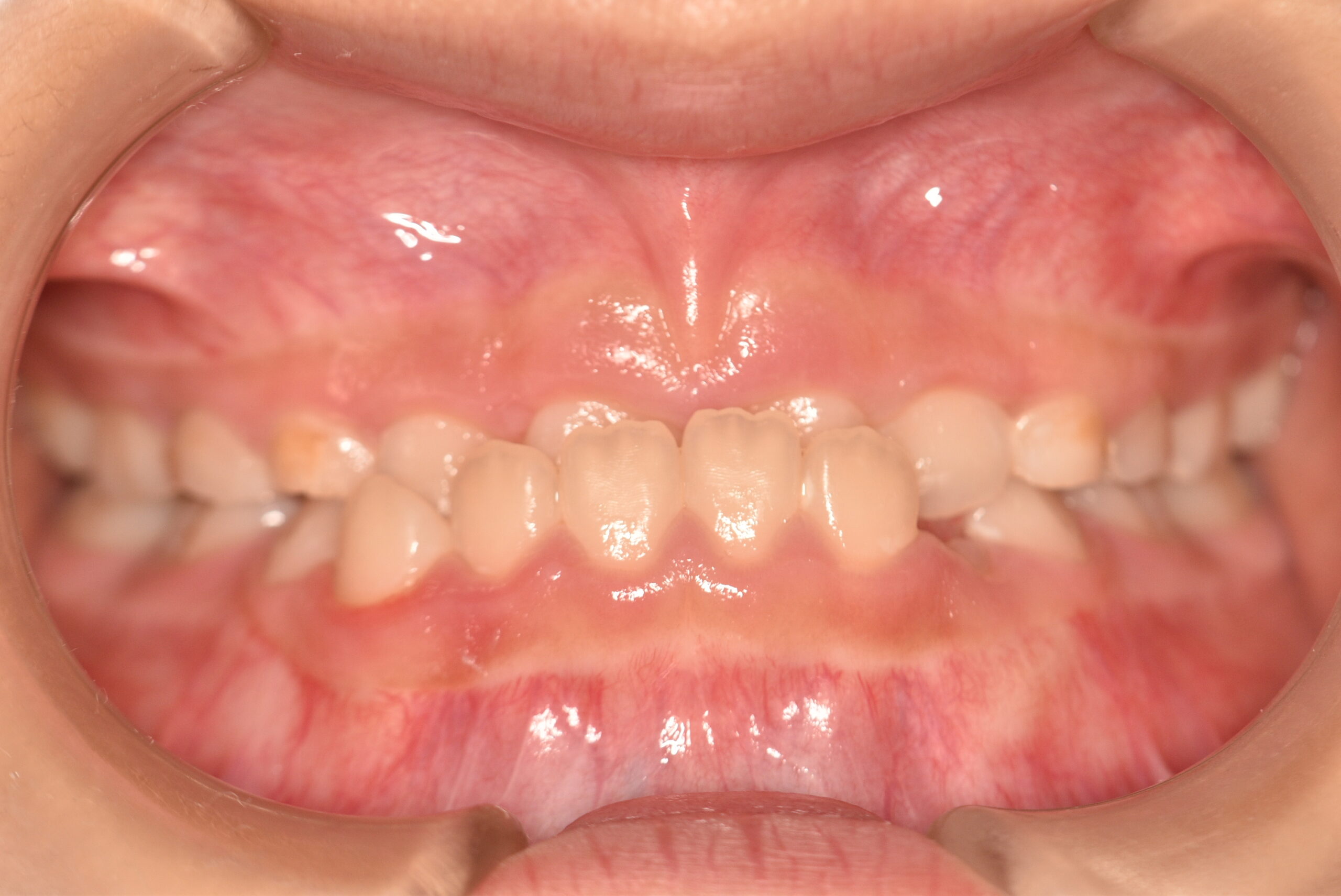
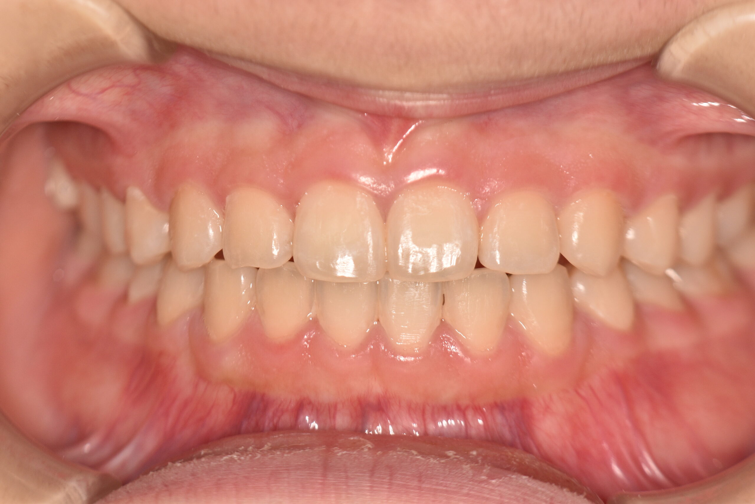
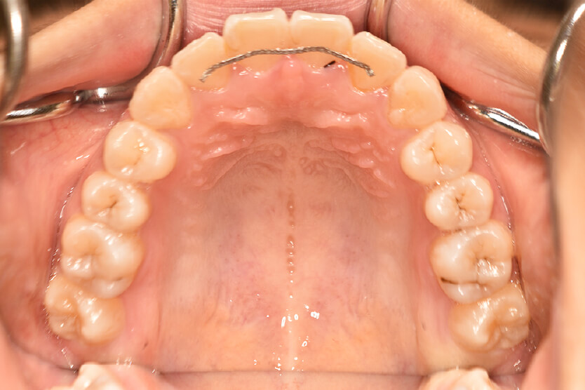
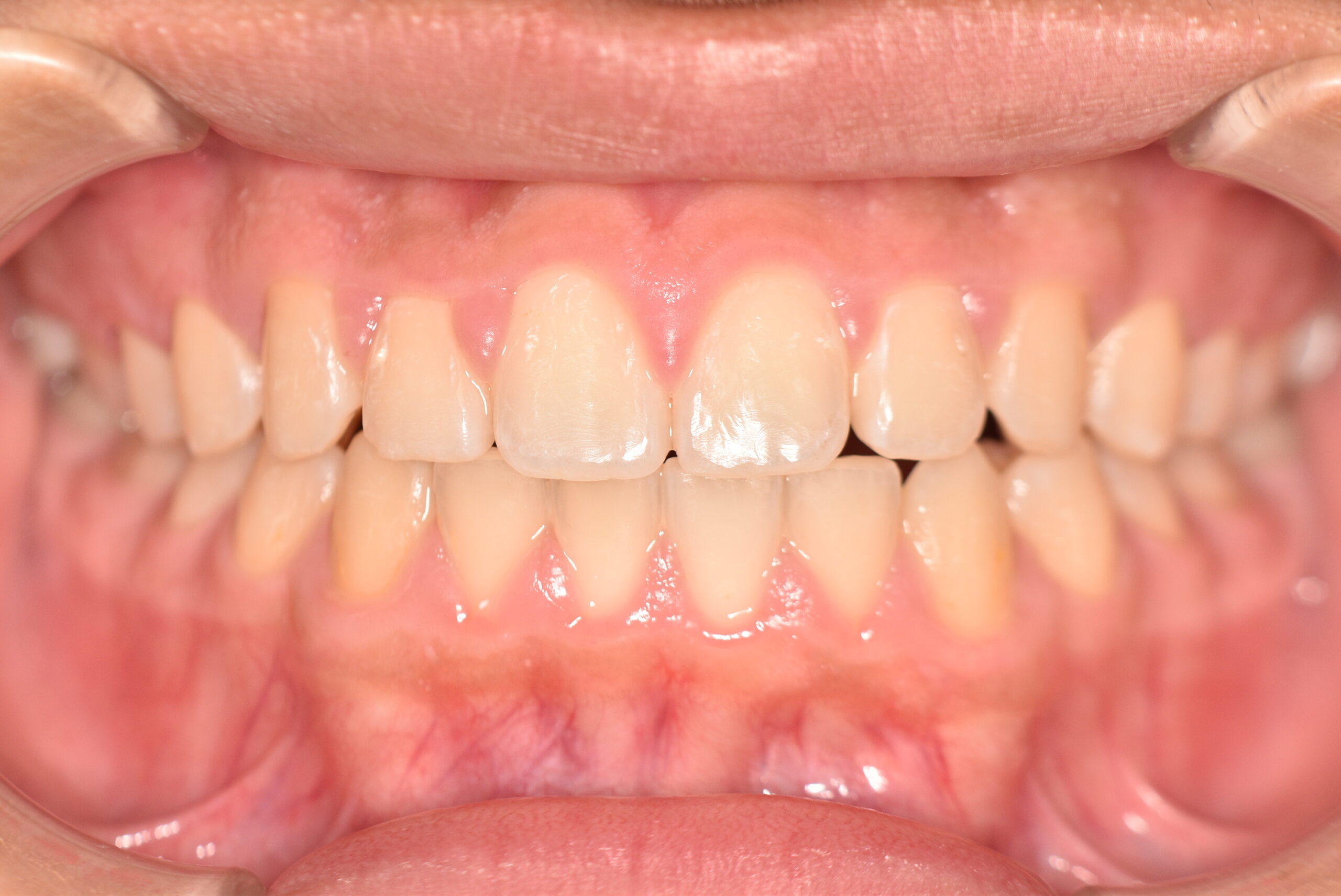
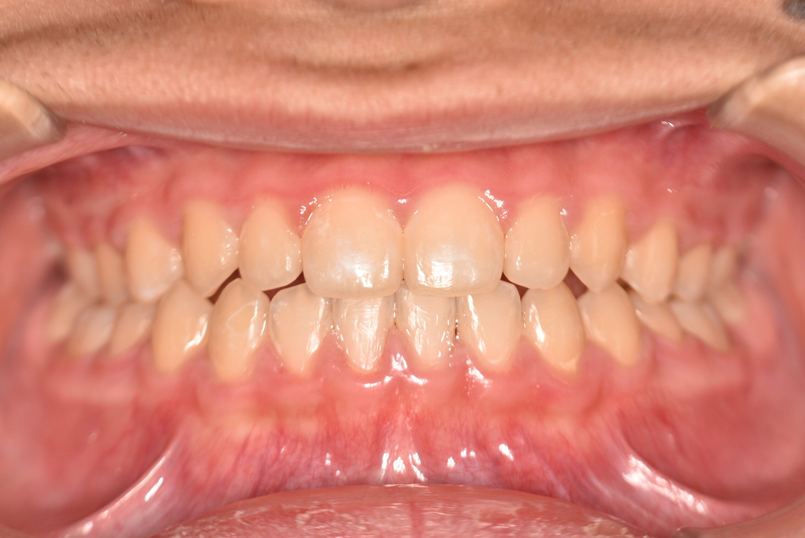
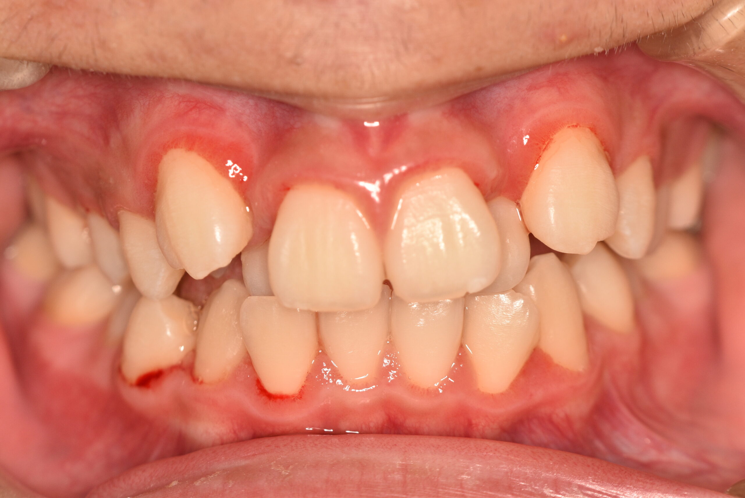
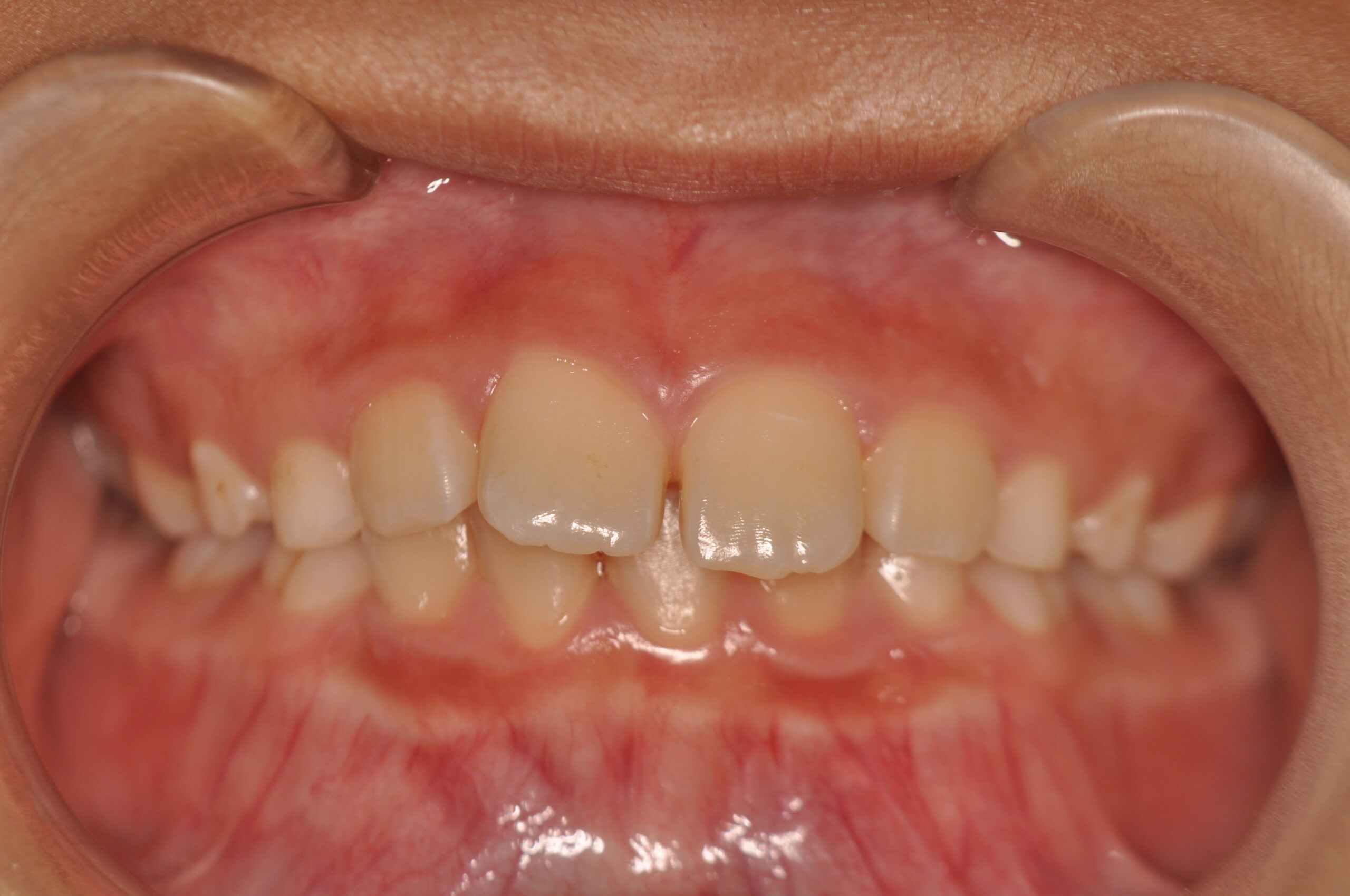
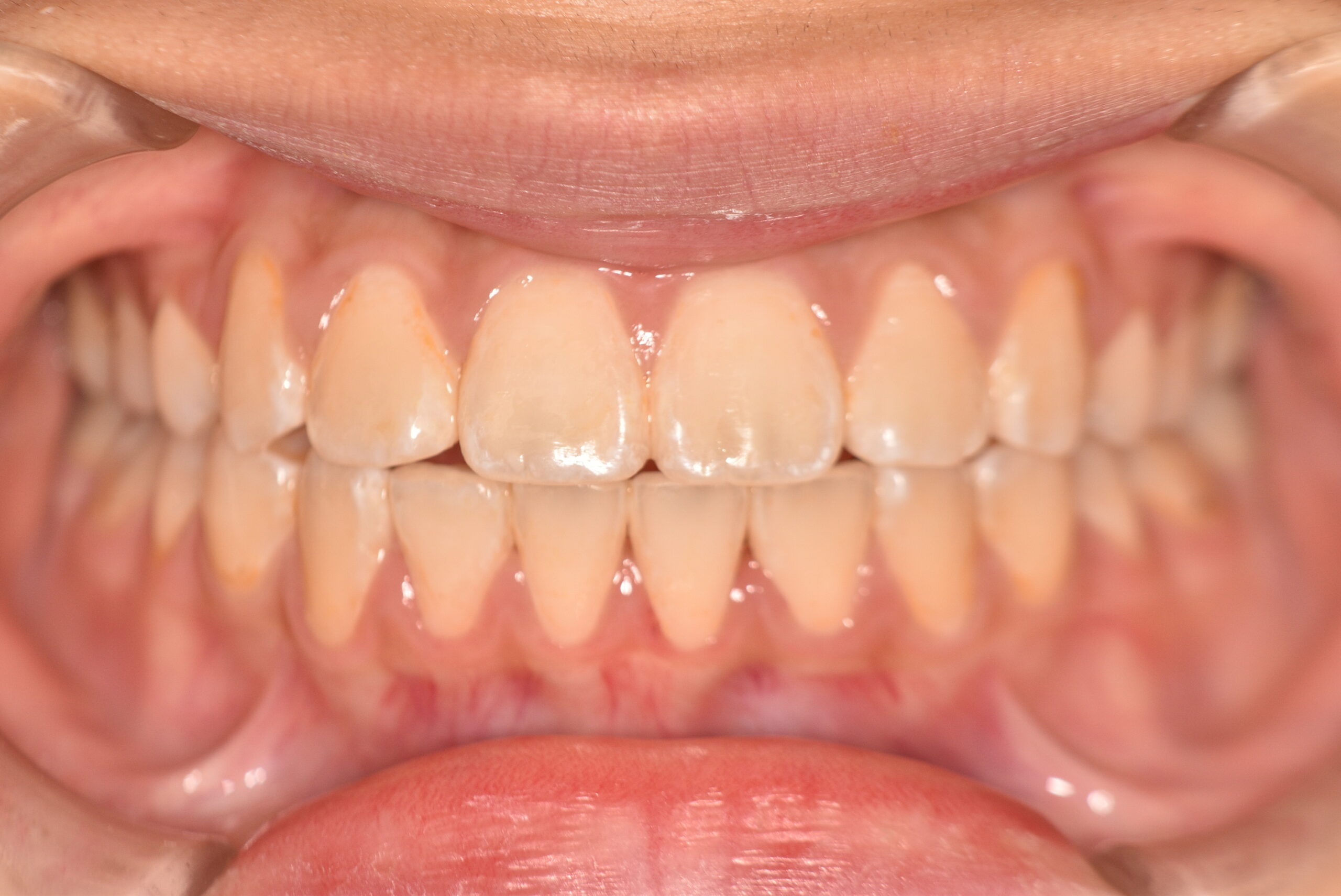
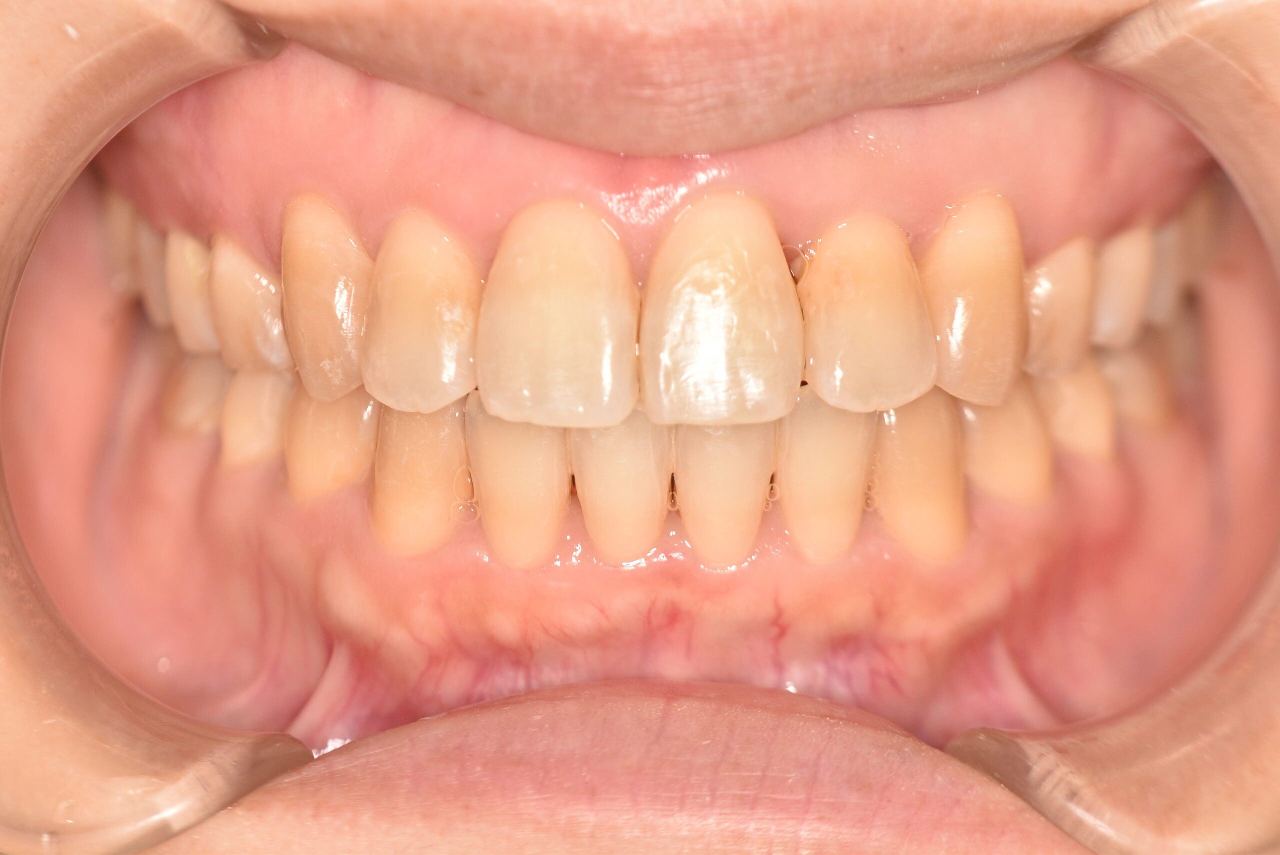
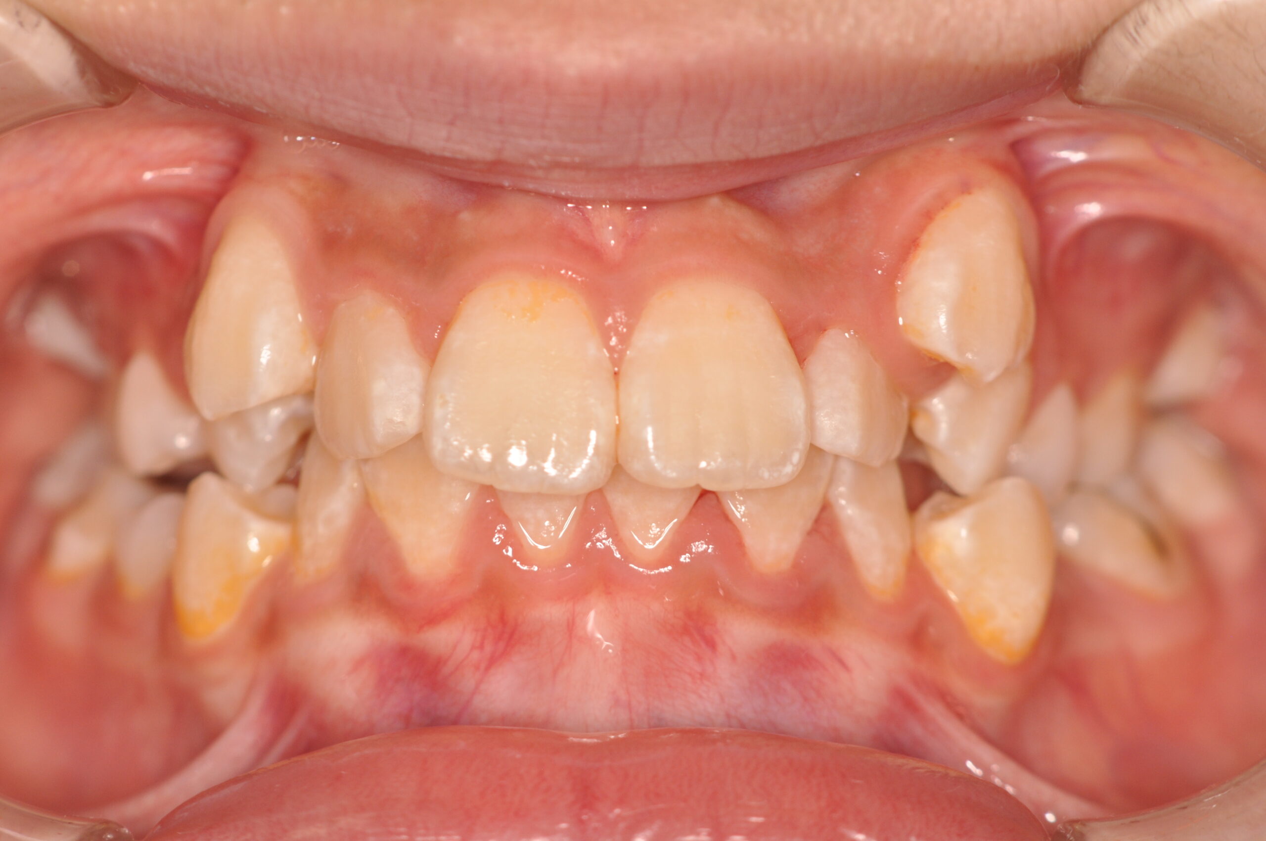
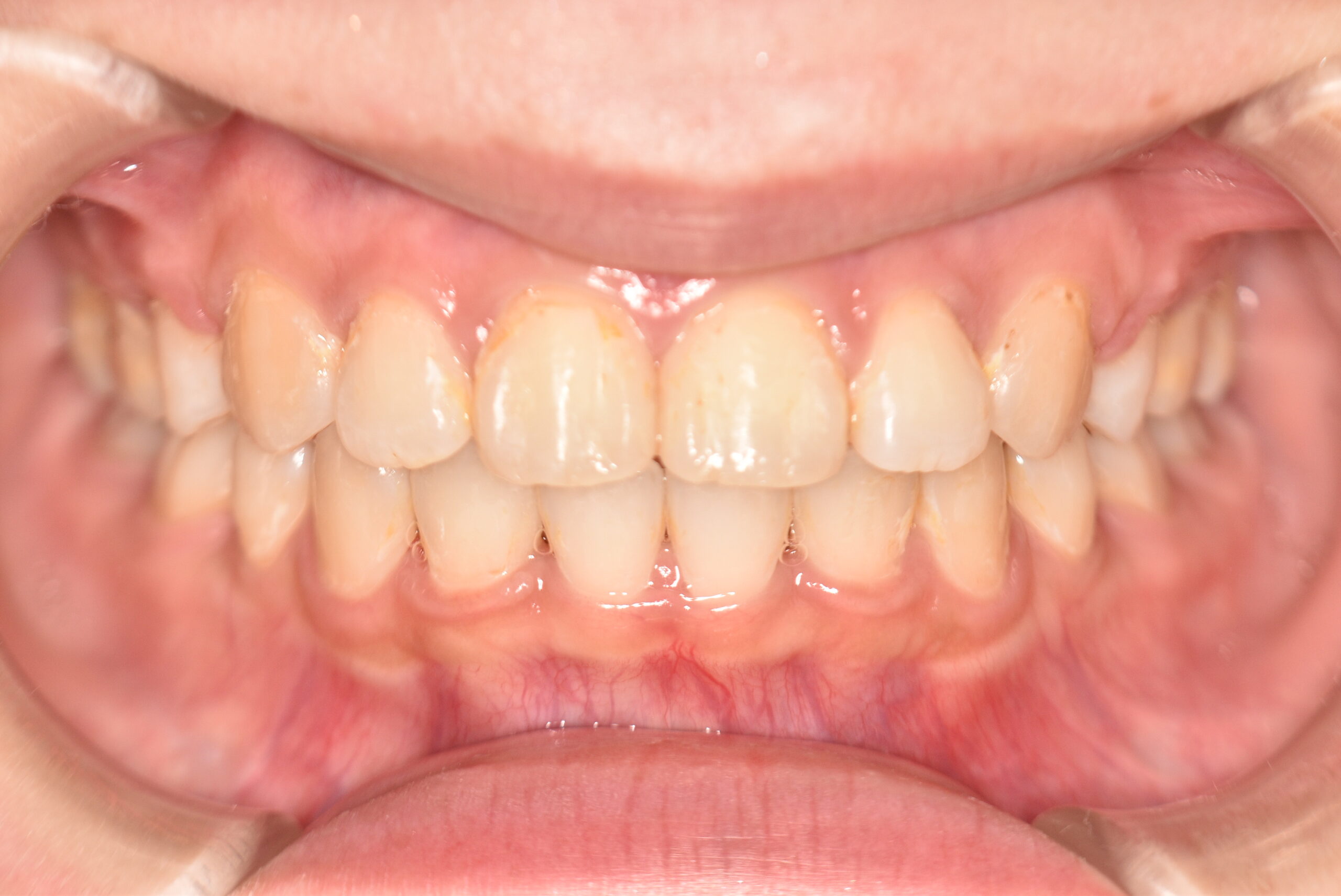
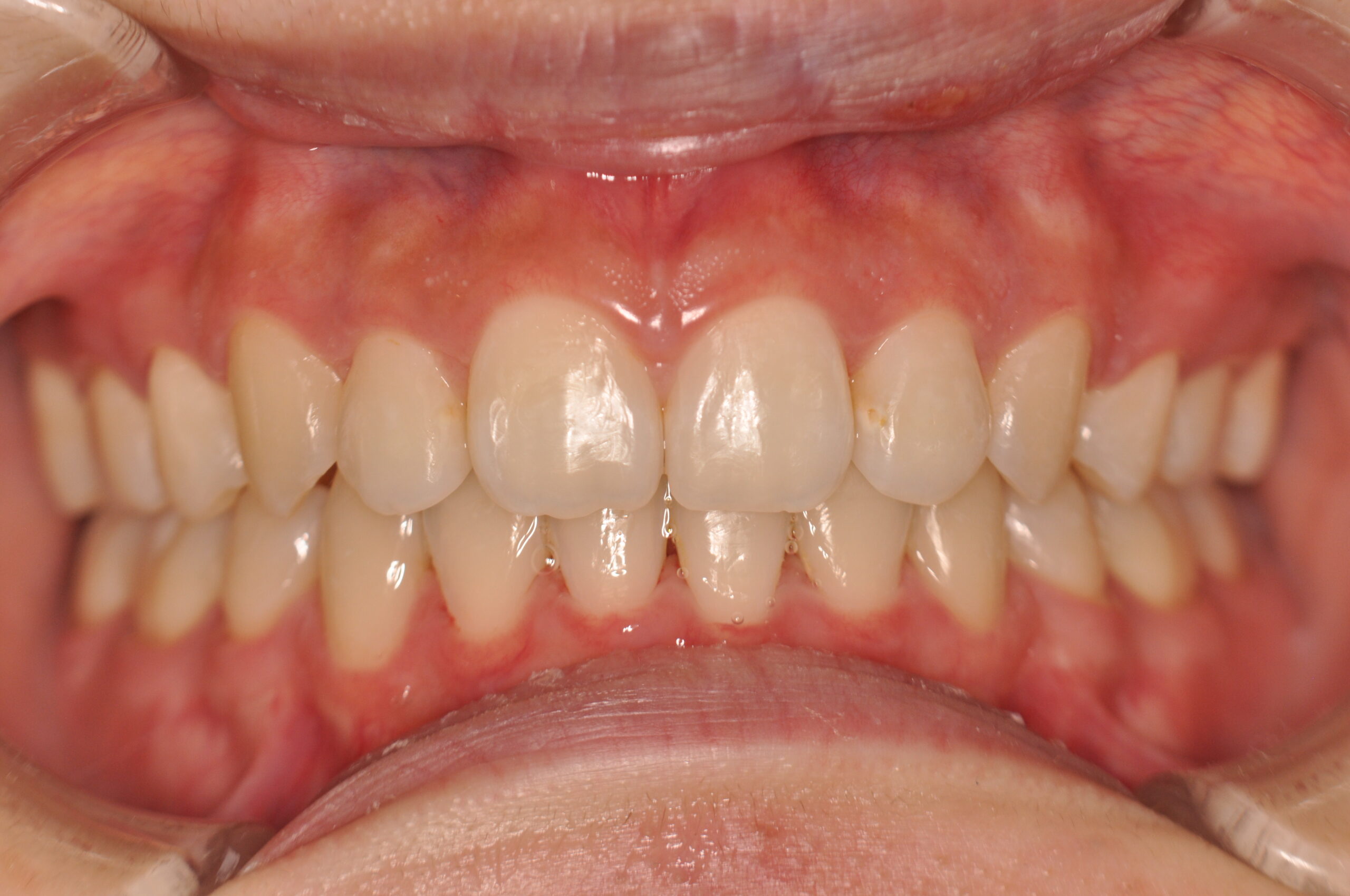
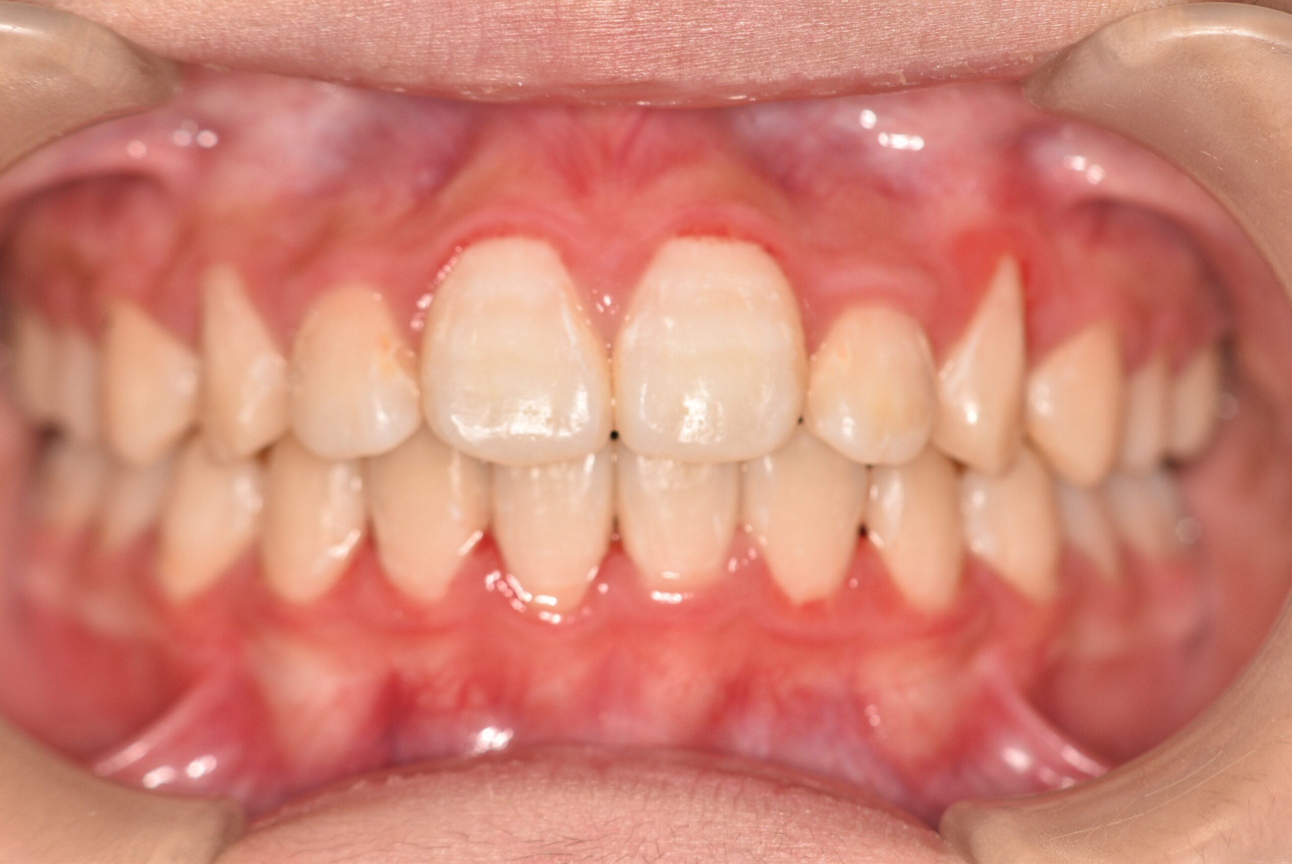
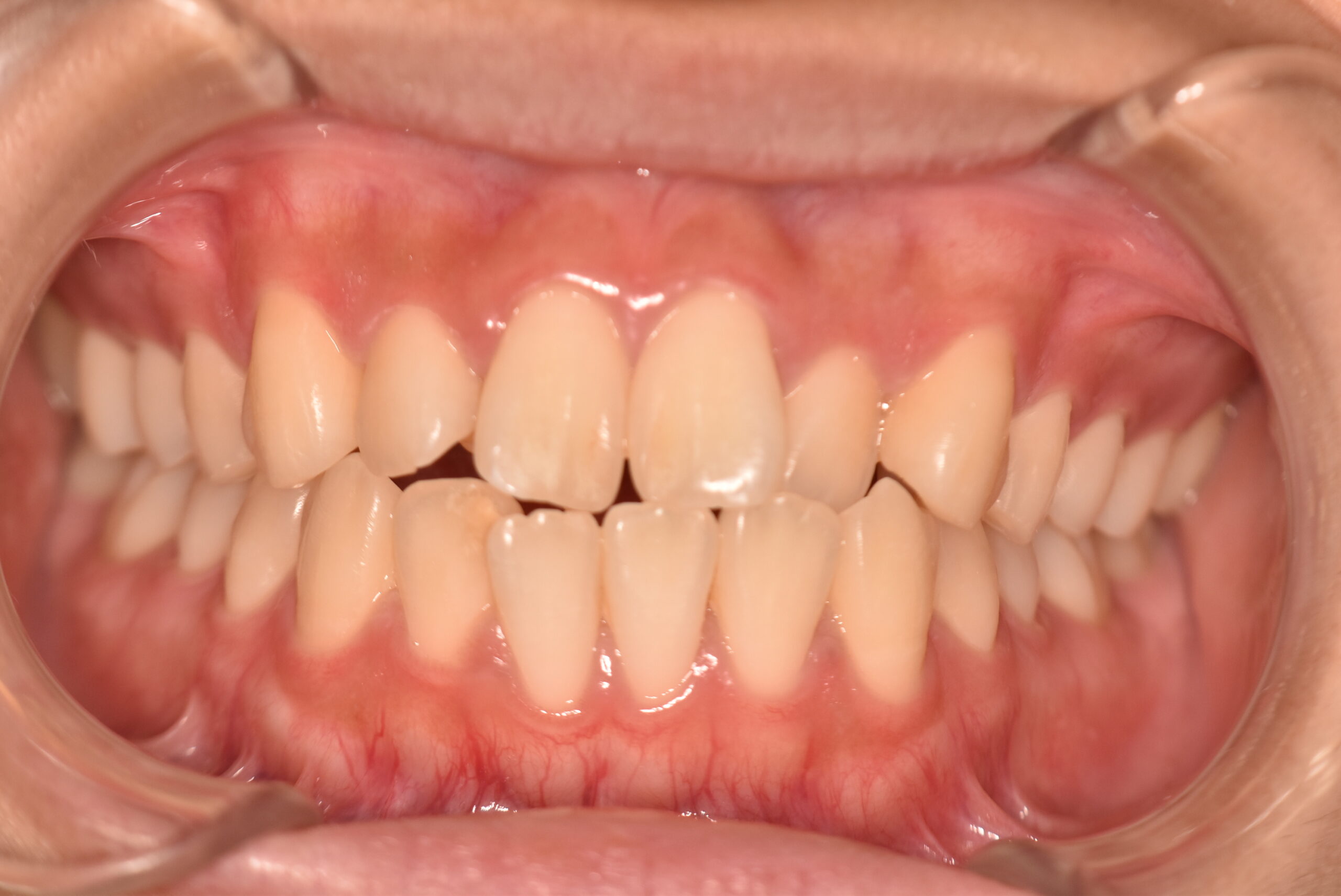
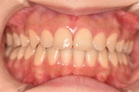
当院での治療例

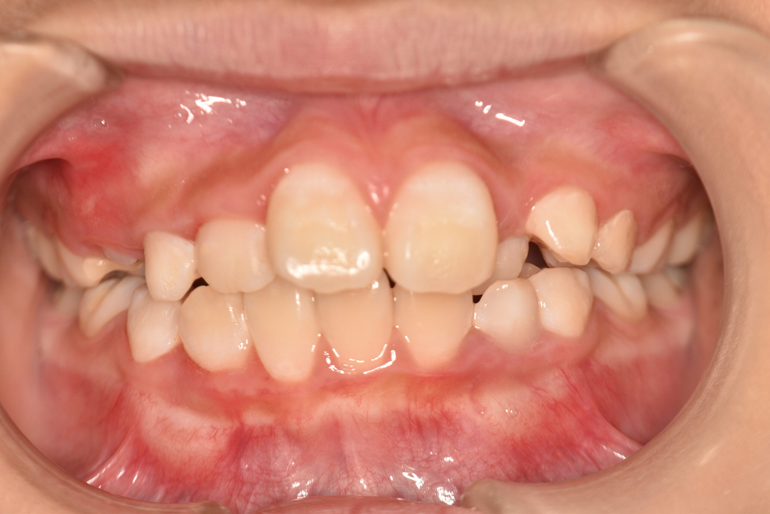
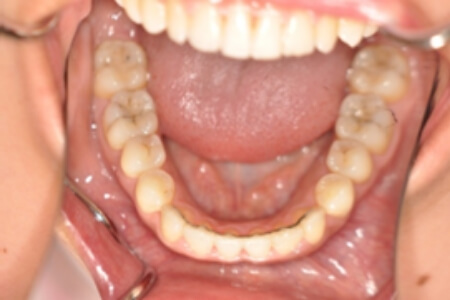
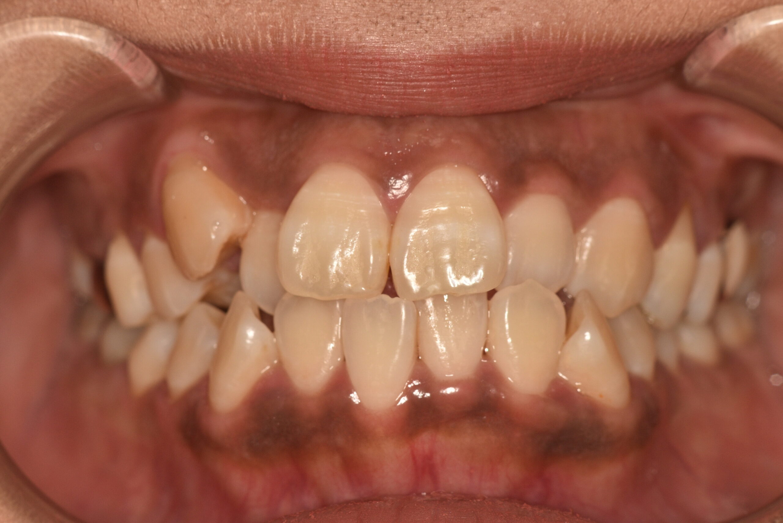
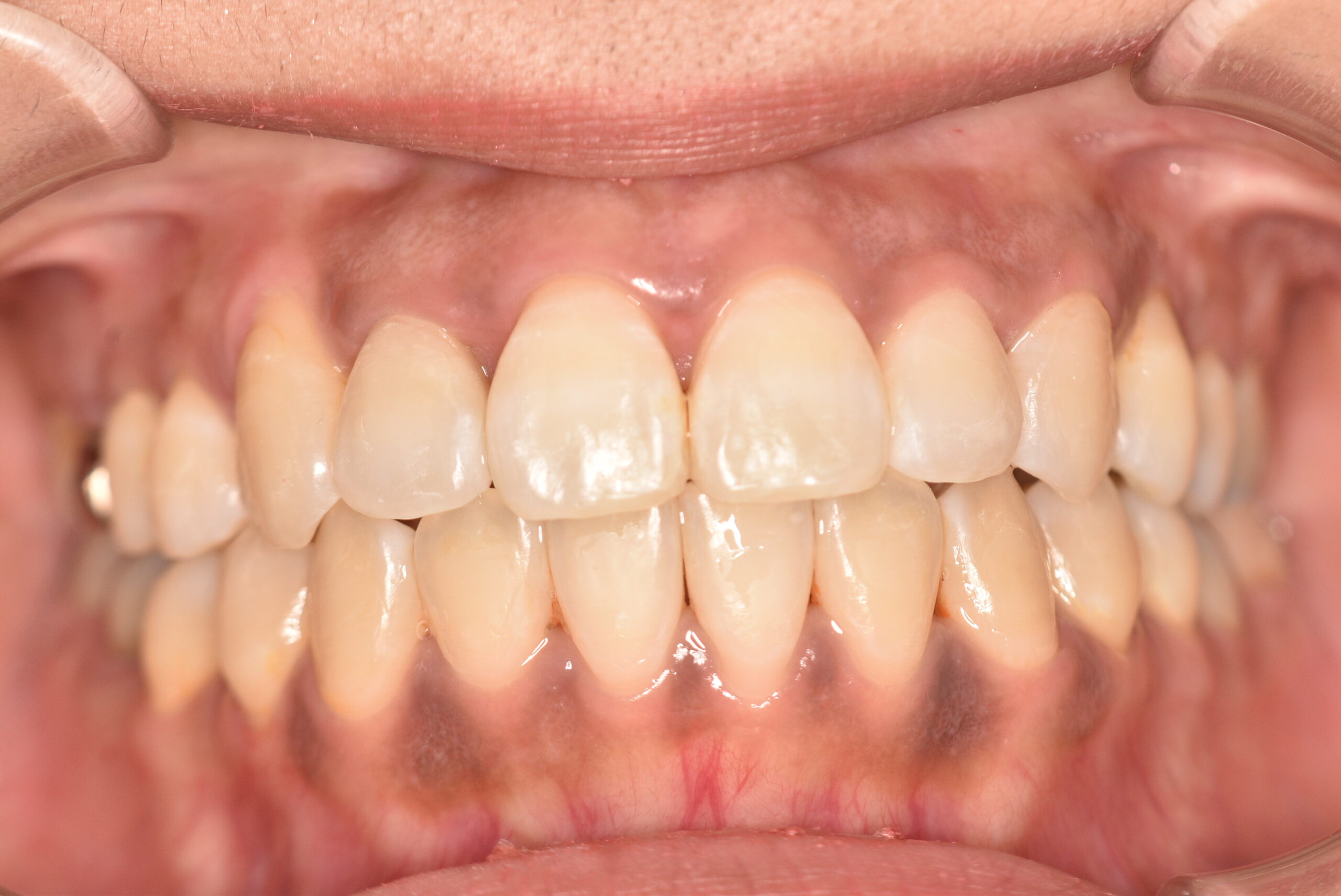
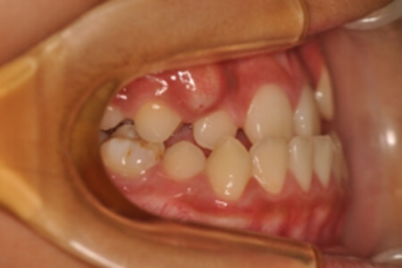
八重歯・でこぼこ(叢生)

全てみる

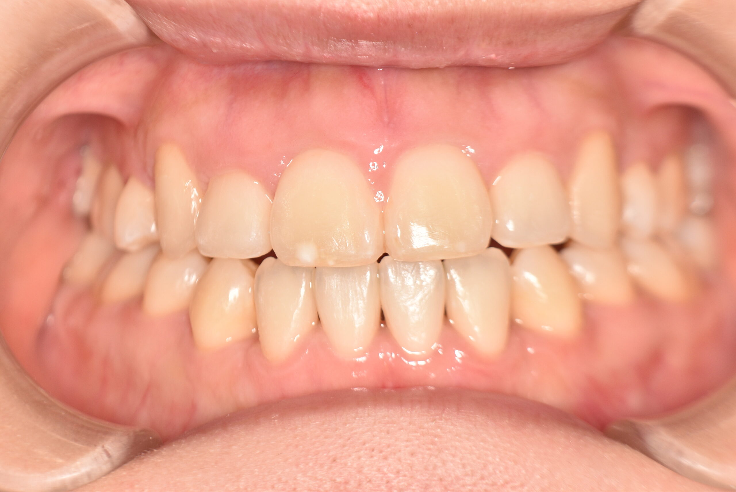
でっ歯(上顎前突)

全てみる

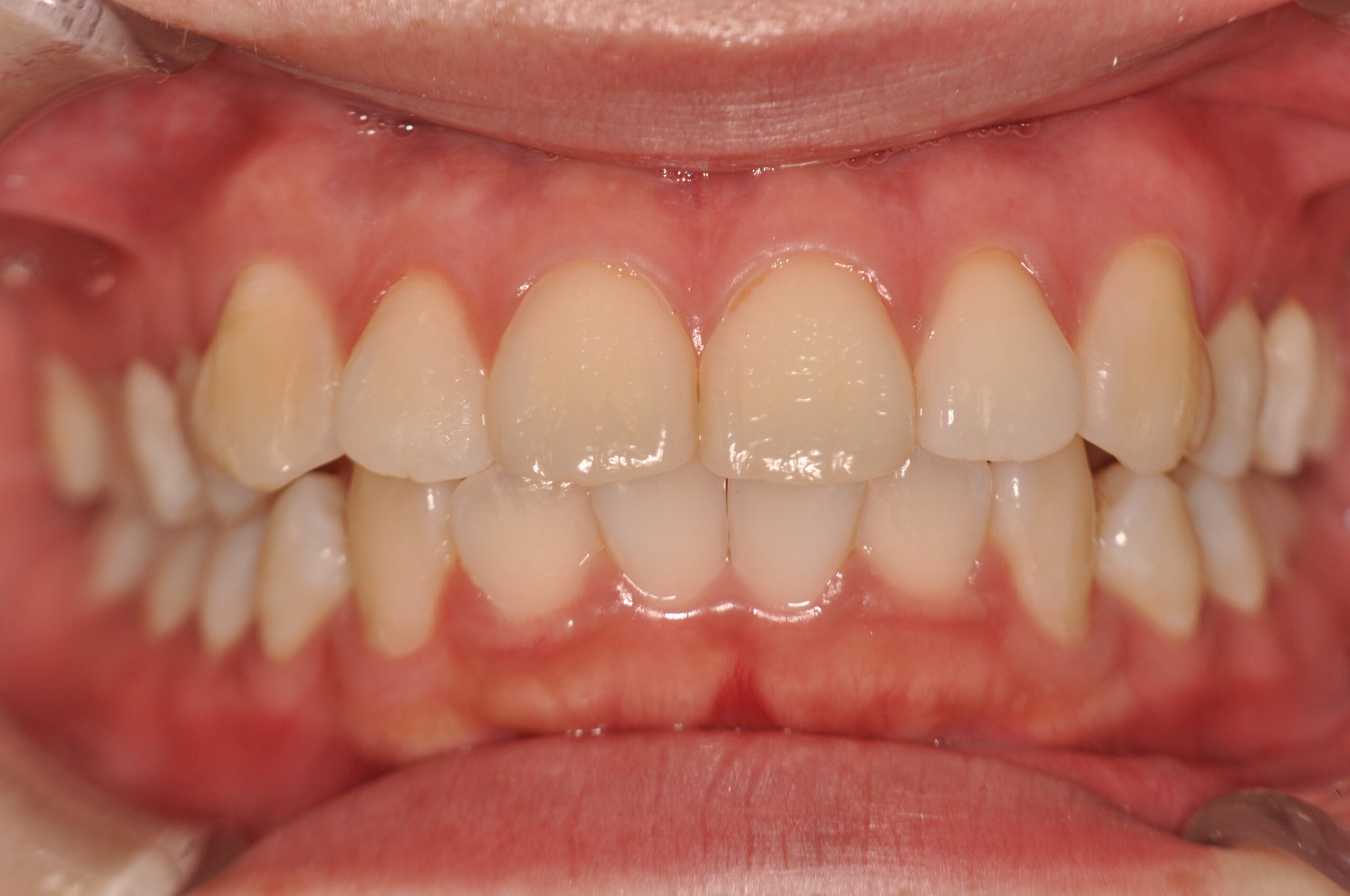
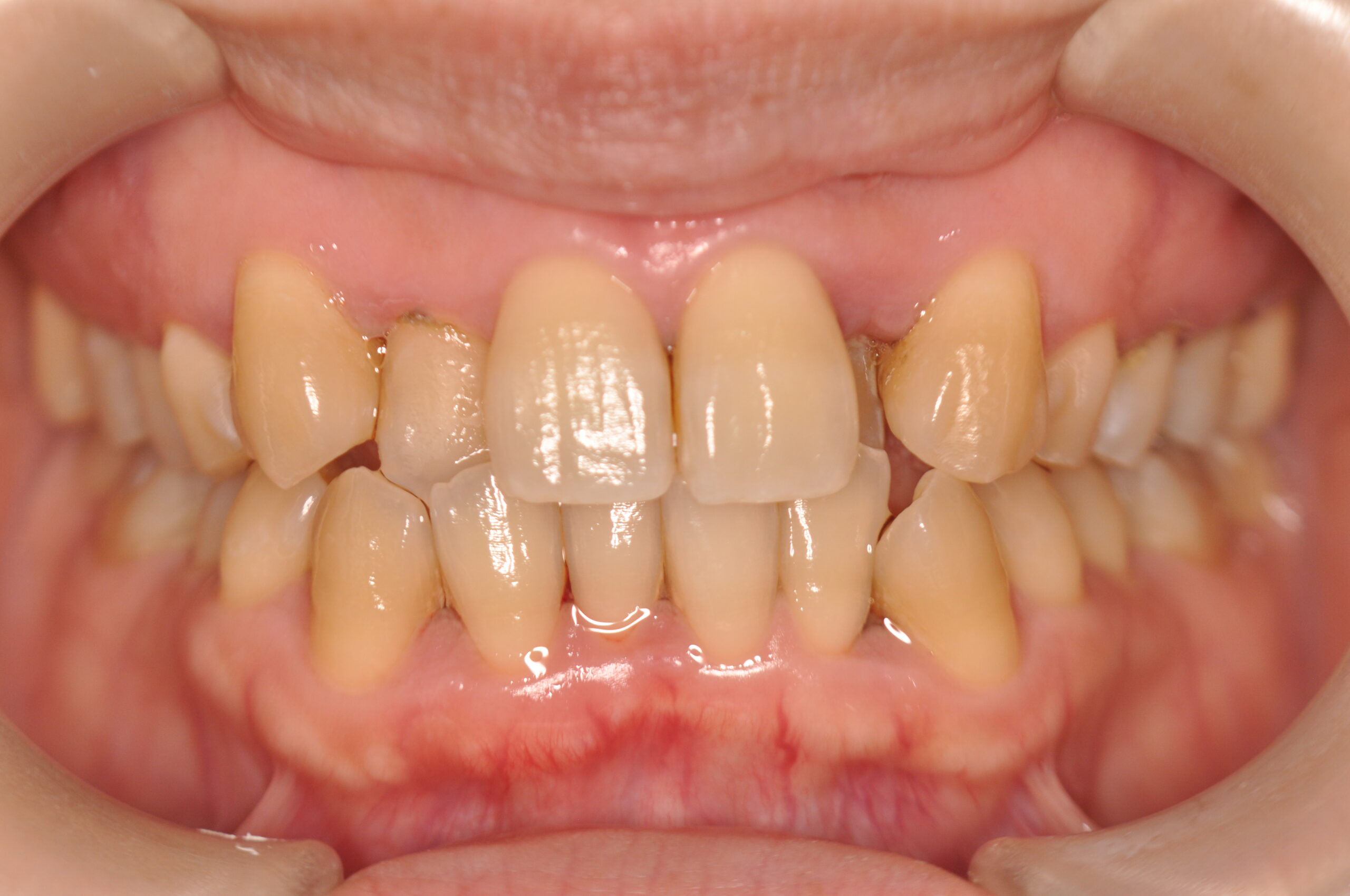
受け口

全てみる

マウスピース型矯正装置(インビザラインファースト)

全てみる

マウスピース型矯正装置(インビザライン)

全てみる

top

初診相談の予約
MAILでのお問合わせ