電話でのご予約
0596-26-0888
| 初診時 年齢 |
9歳3ヶ月 | 性 別 | 男性 |
|---|---|---|---|
| 治療期間 | 1年6ヶ月 | 費 用 | 矯正施術料:800,000円 調整料:4,000円/月 |
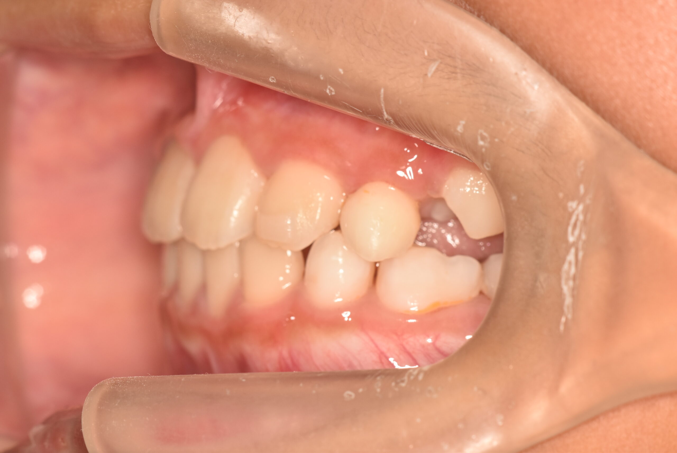
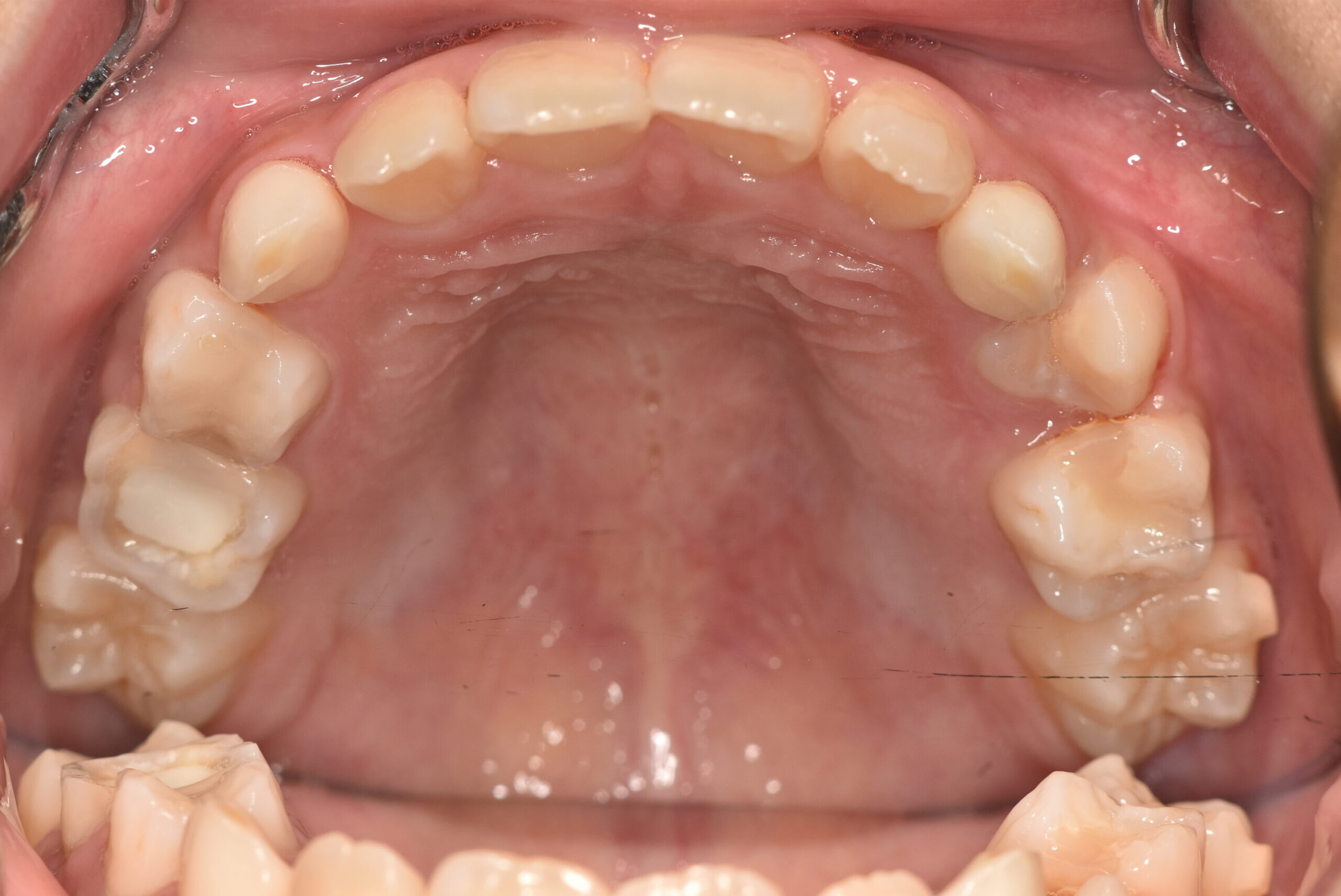
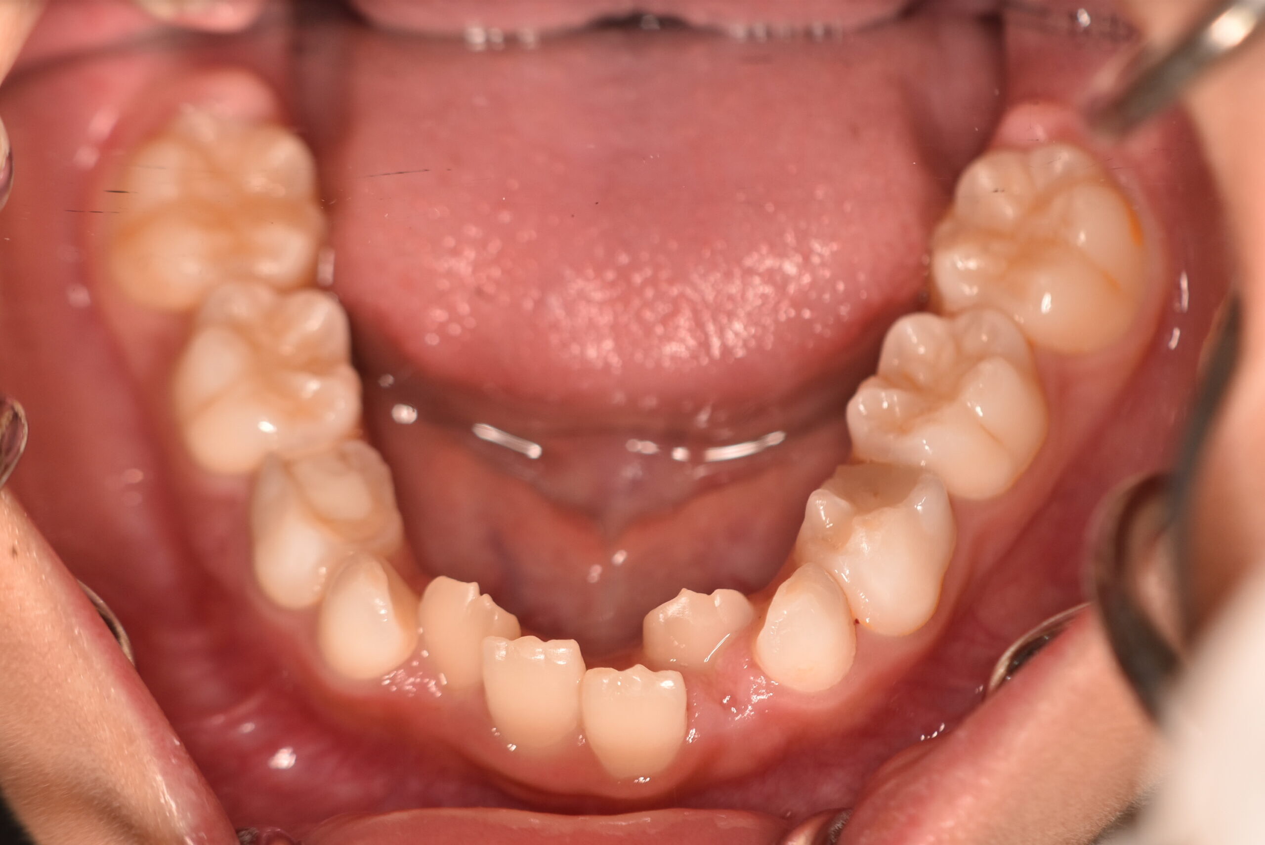
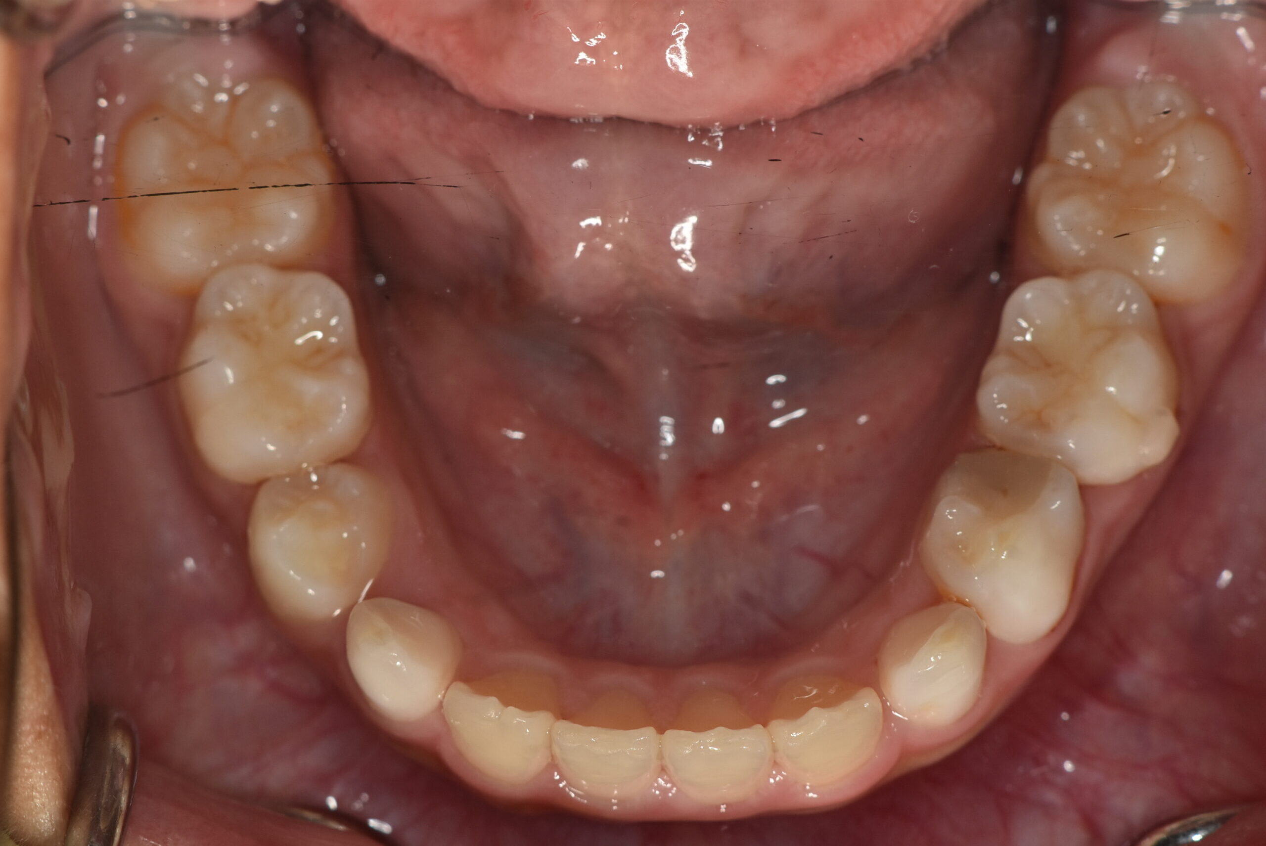
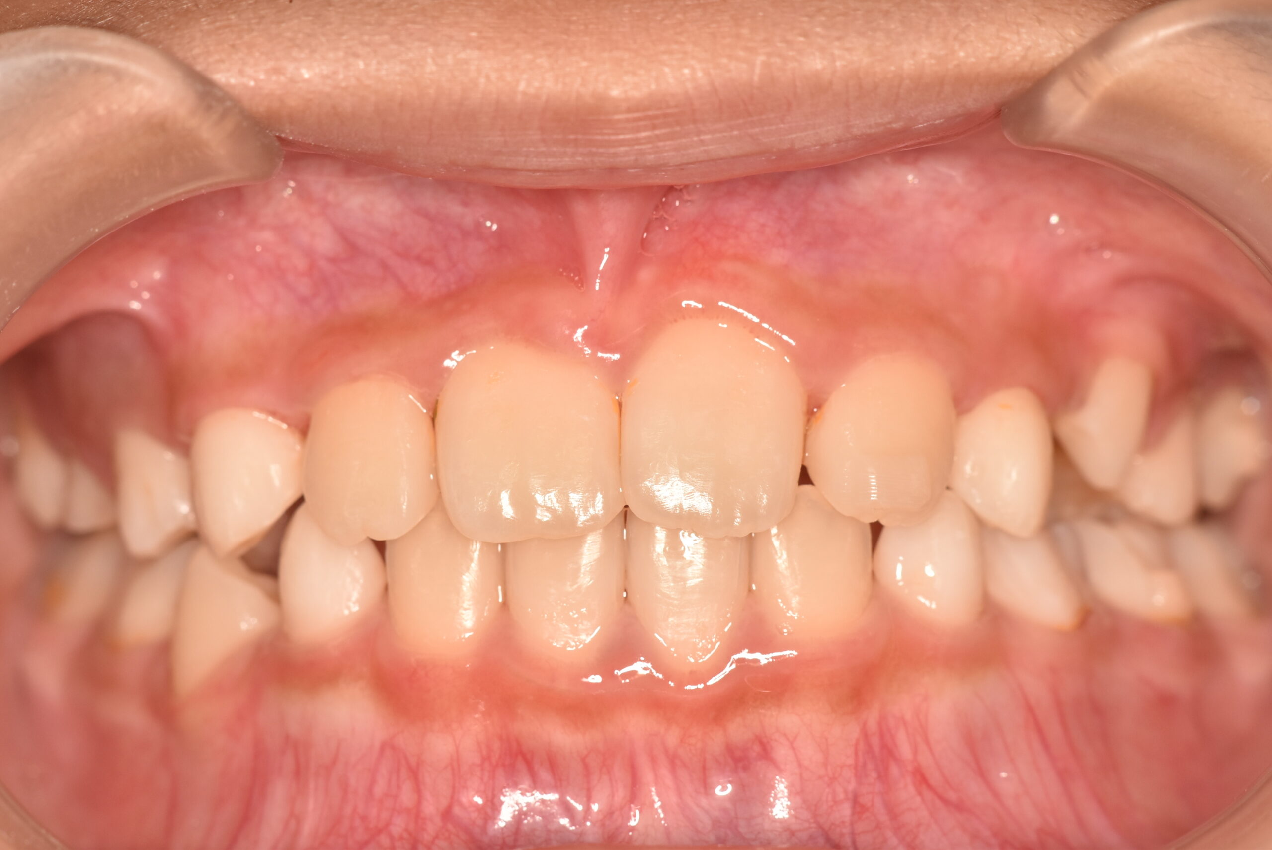
| 治療内容の詳細 | 初診時9歳3ヶ月の男児で、前歯が磨きにくく虫歯になりやすいことを気にされ来院されました。 検査の結果、前歯部叢生を伴うアングルⅠ級不正咬合と診断しました。 治療としてはマウスピース矯正(インビザラインファースト)で配列を行い、上下顎の側方拡大により永久歯の萌出スペースを確保しました。 治療期間は、1年6ヶ月でした。 今後、永久歯(側方歯)の生え変わりまで経過観察を行います。 |
||
患者さんには以下の矯正治療に伴うリスクや
副作用を説明し、ご理解の上で治療を行いました。