電話でのご予約
0596-26-0888
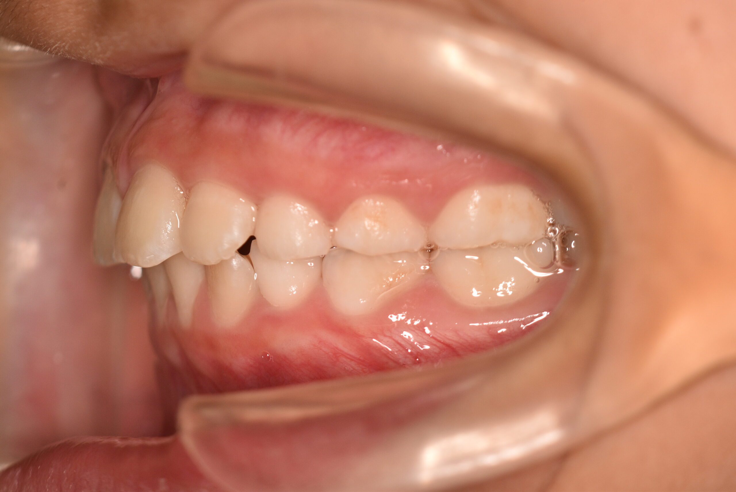
| 初診時 年齢 |
8歳6ヶ月 | 性 別 | 男性 |
|---|---|---|---|
| 治療期間 | 8ヶ月 | 費 用 | 矯正施術料:750,000円 調整料:5,000円/月 |
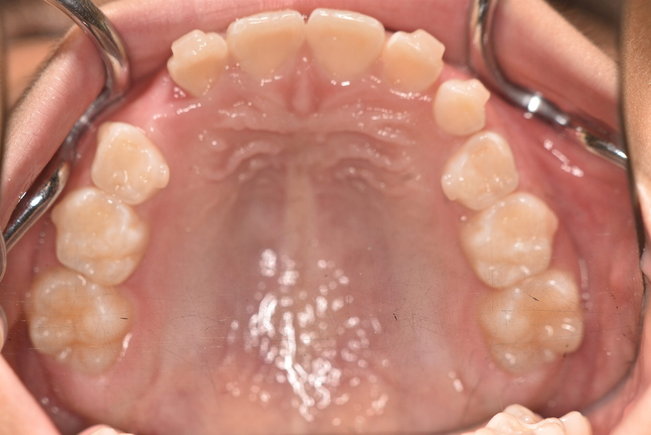
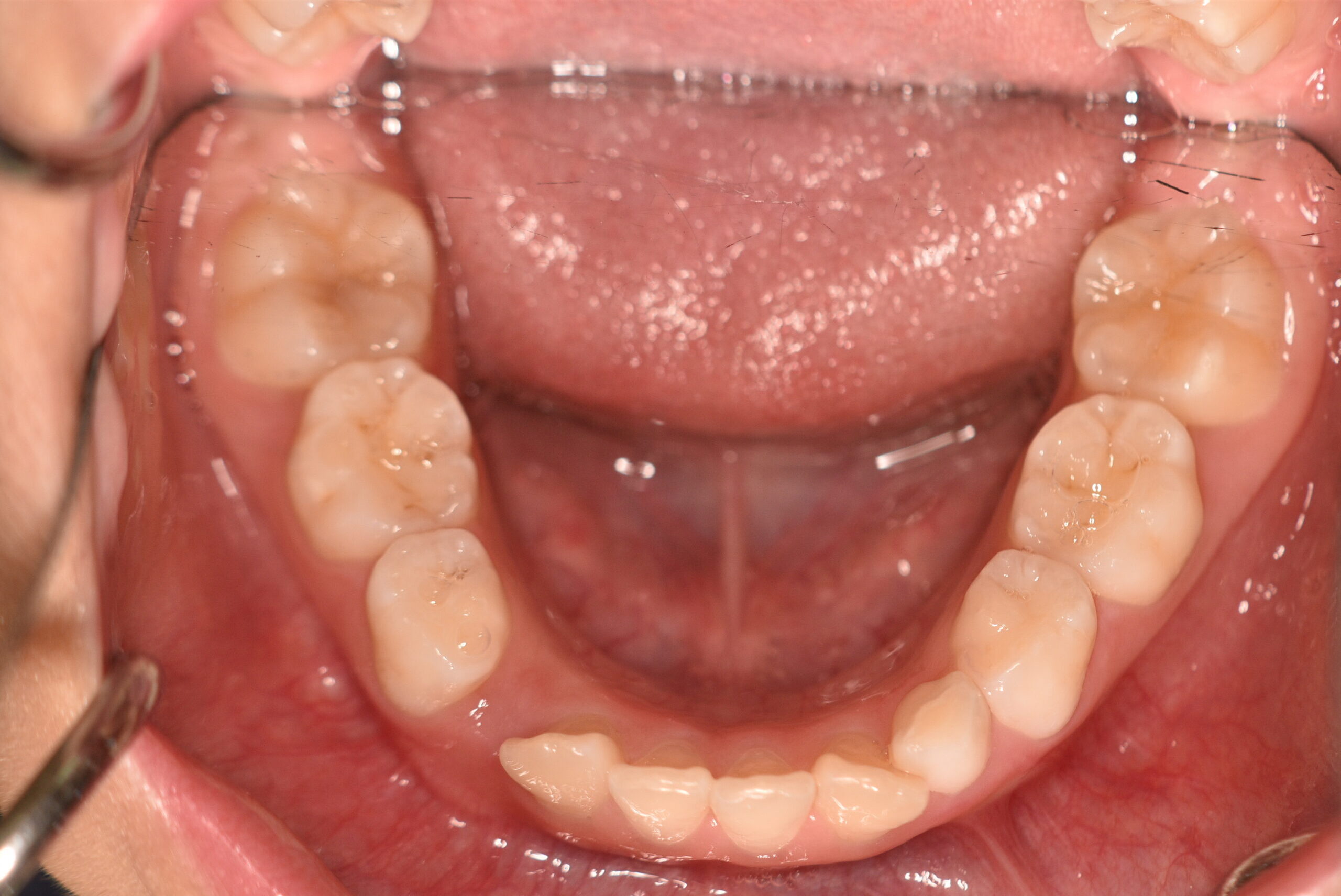
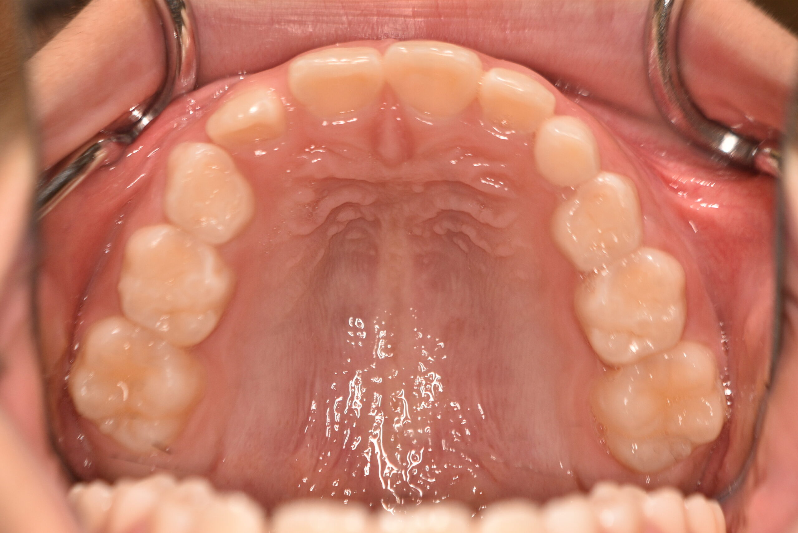
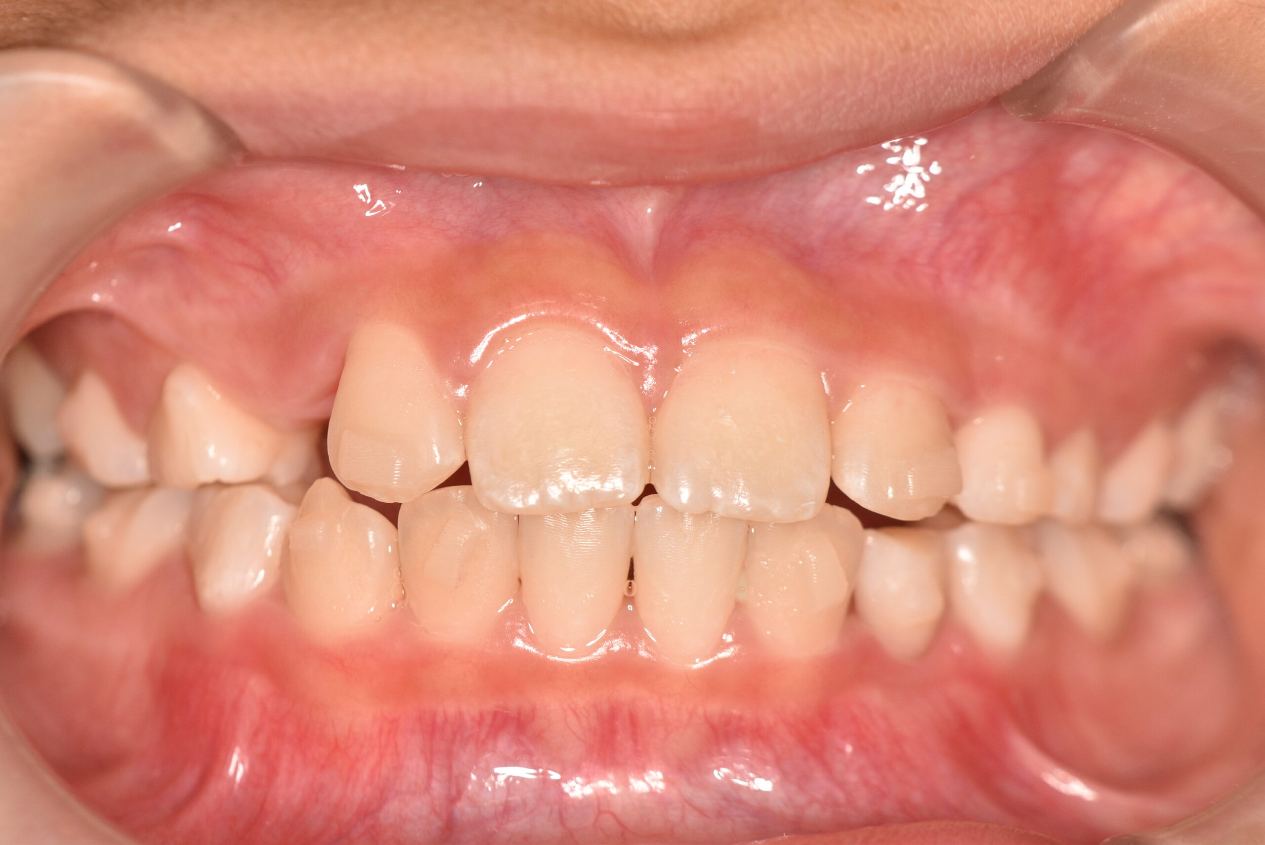
| 治療内容の詳細 | 初診時8歳6ヶ月の男児で、永久歯の生える隙間が少ないことを気にされ来院されました。 検査の結果、前歯部叢生を伴うアングルⅡ級Ⅰ類不正咬合と診断しました。 治療としてはマウスピース矯正(インビザラインファースト)で配列を行い、上下顎の側方拡大により永久歯の萌出スペースを確保しました。 治療期間は、8ヶ月でした。 今後、機能的矯正装置を用いて、永久歯(側方歯)の生え変わりまで経過観察を行います。 |
||
患者さんには以下の矯正治療に伴うリスクや
副作用を説明し、ご理解の上で治療を行いました。