電話でのご予約
0596-26-0888
| 初診時 年齢 |
31歳10ヶ月 | 性 別 | 女性 |
|---|---|---|---|
| 治療期間 | 2年7ヶ月 | 費 用 | 矯正施術料:1,000,000円 調整料:4,000円/月 |
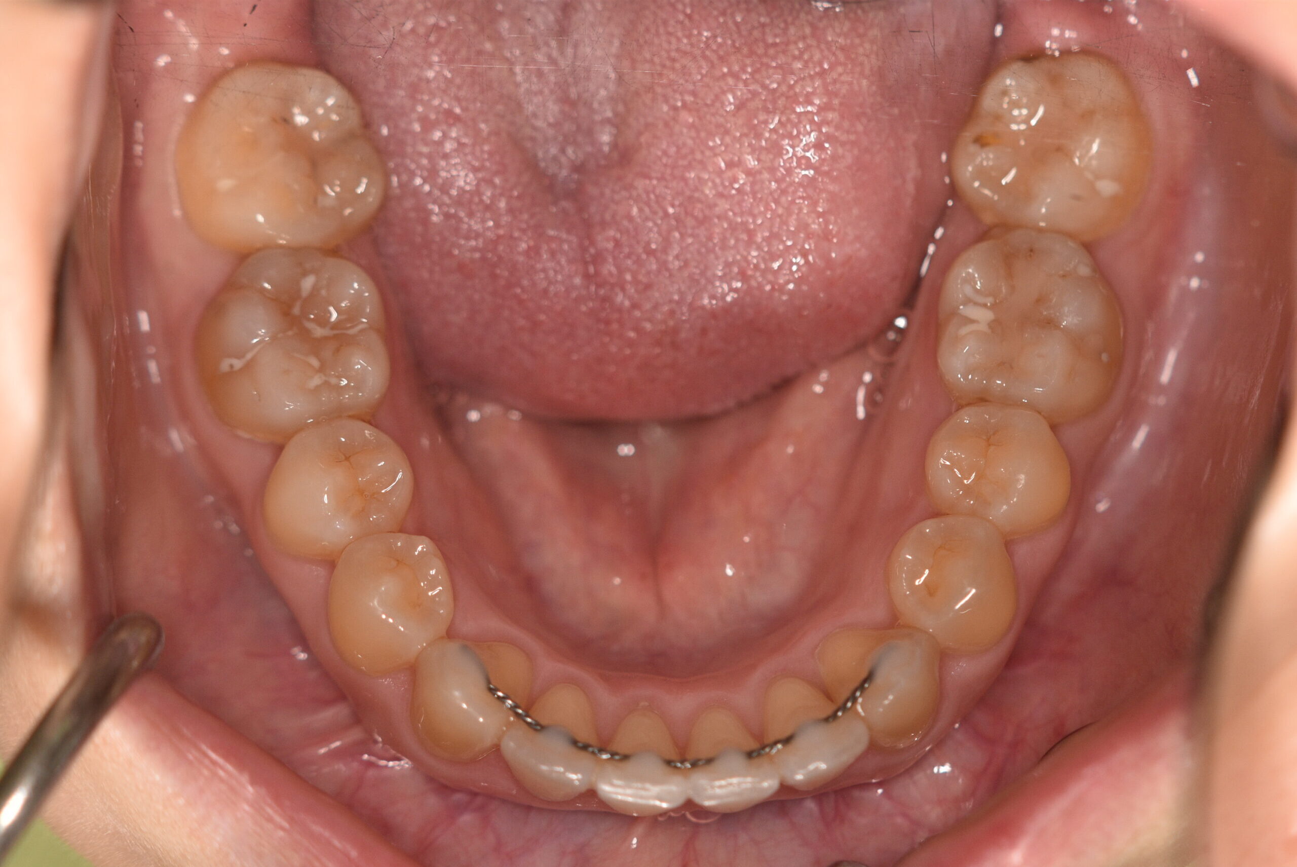
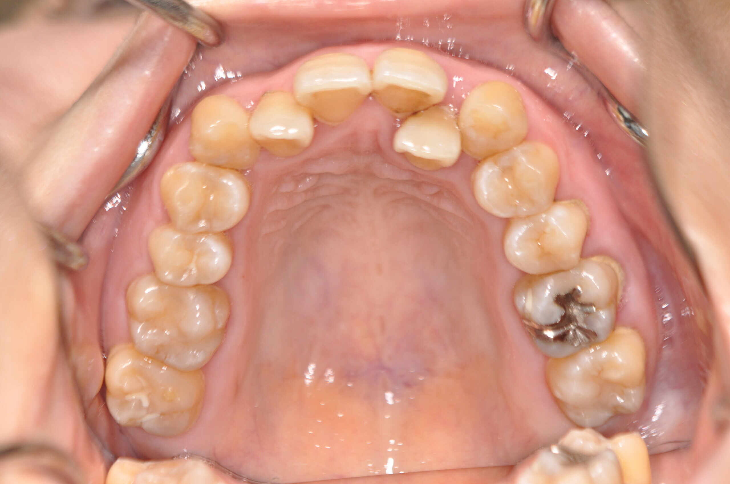
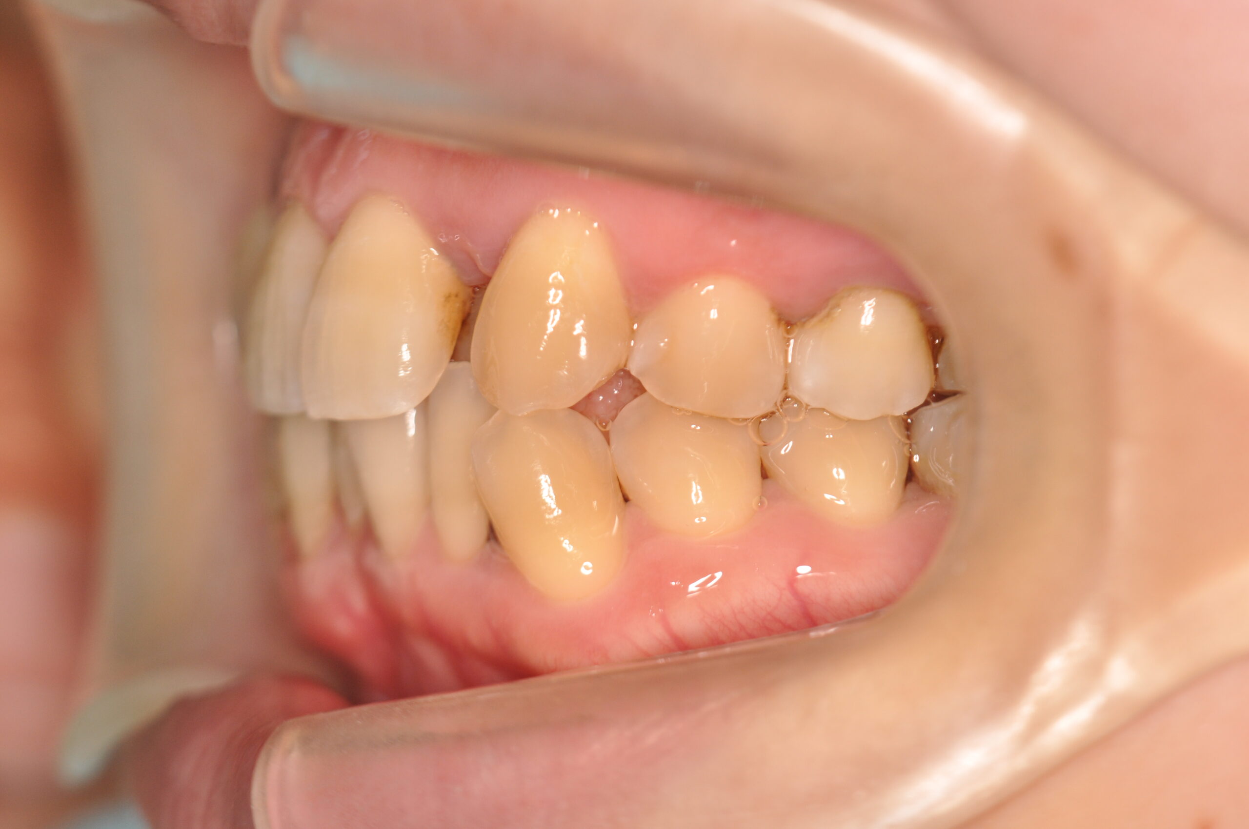
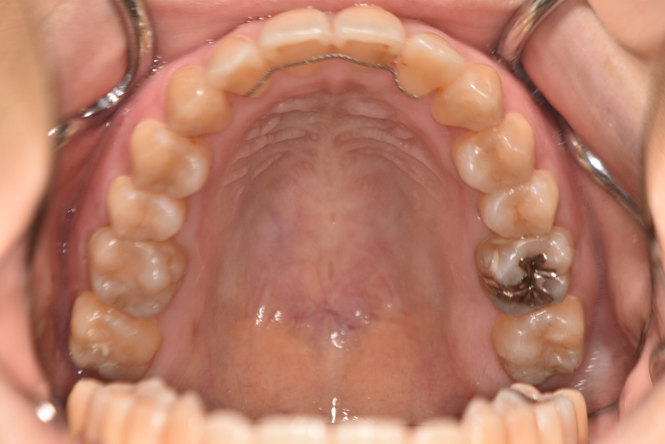
| 治療内容の詳細 | 初診時31歳の女性で、前歯が奥側にあることを気にされ来院されました。 検査の結果、上下顎叢生を伴うアングルⅠ級不正咬合と診断しました。 治療としては、上顎臼歯部の遠心移動を行い、歯を配列するためのスペースを確保し、非抜歯の上、セルフライゲーションブラケット装置(デーモンシステム)で歯の配列と咬合関係の改善をを行いました。 治療期間は、2年7ヶ月でした。 |
||
患者さんには以下の矯正治療に伴うリスクや
副作用を説明し、ご理解の上で治療を行いました。