電話でのご予約

0596-26-0888

治療例CASE

開咬・叢生(抜歯)[2441]

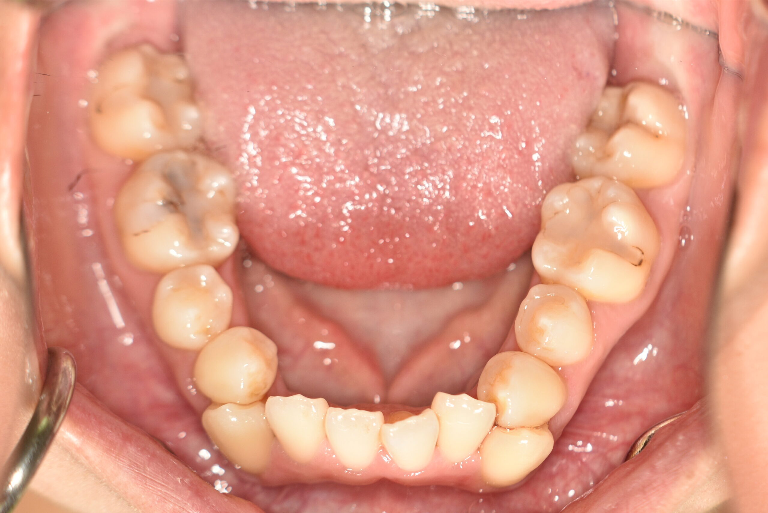
初診時

症例 症例 症例 症例 症例

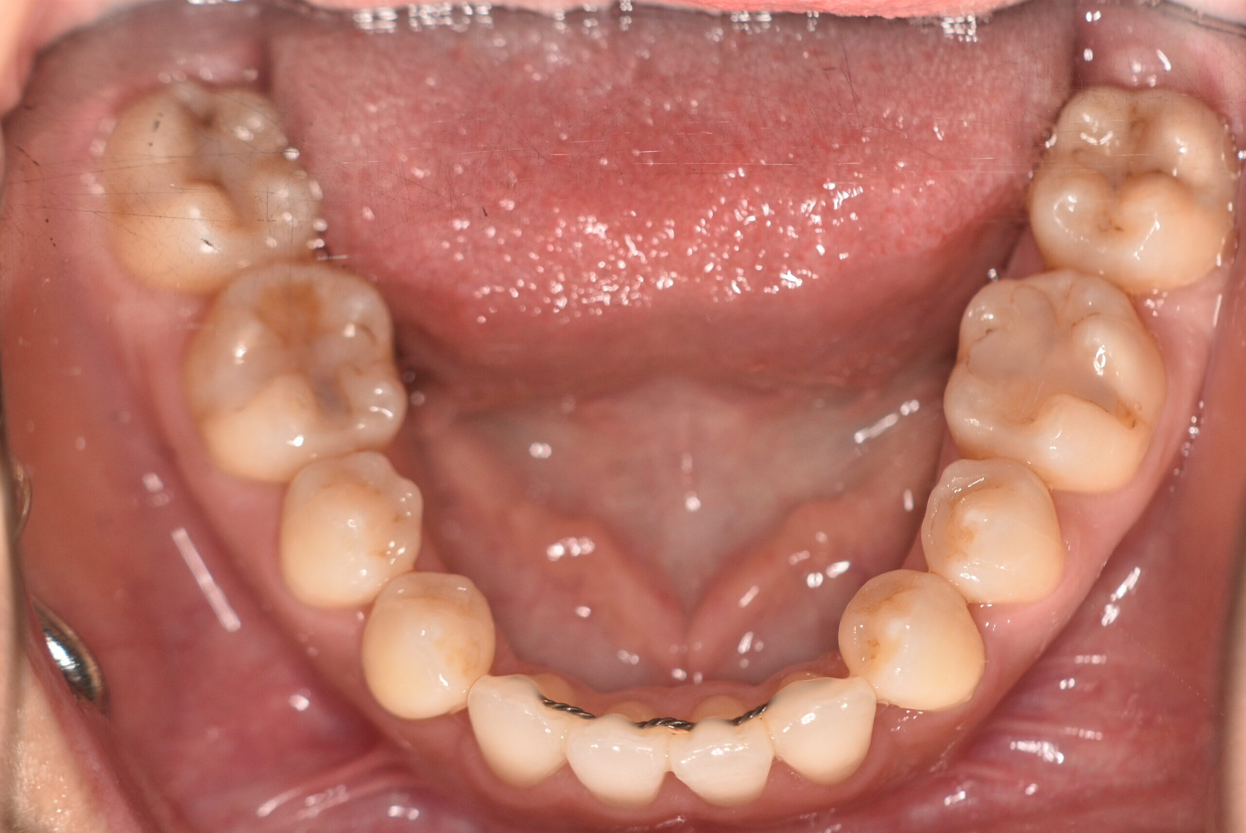
動的治療終了時

症例 症例 症例 症例 症例
初診時
年齢
26歳6ヶ月 性 別 女性
治療期間 3年7ヶ月 費 用 矯正施術料:1,000,000円 調整料:4,000円/月
治療内容の詳細 初診時26歳の女性で、前歯が噛み合わないことと八重歯を気にされ来院されました。
検査の結果、開咬及び上下顎前歯部叢生を伴うアングルⅢ級不正咬合と診断しました。
治療としては、上顎第一小臼歯、下顎左右犬歯および下顎左右智歯を抜歯し、マウスピース矯正装置(インビザライン)とセルフライゲーションブラケット装置(デーモンシステム)で歯の配列を行いました。
開咬については、顎間ゴムの協力もあり改善されました。
治療期間は、3年7ヶ月でした。

治療に伴う一般的な
リスクや副作用について

患者さんには以下の矯正治療に伴うリスクや
副作用を説明し、ご理解の上で治療を行いました。

  • むし歯や歯周病
  • 歯の後戻り(歯ならびが元の位置へ戻ろうとすること)
  • 歯肉の退縮(歯ぐきがさがること)
  • 歯の失活(歯の神経が死んでしまうこと)
  • 歯根吸収(歯の根が短くなること)
  • 顎関節症 など

top

初診相談の予約
MAILでのお問合わせ