電話でのご予約
0596-26-0888
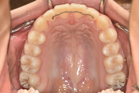
| 初診時 年齢 |
15歳 | 性 別 | 女性 |
|---|---|---|---|
| 治療期間 | 2年 | 費 用 | 矯正施術料:900,000円 調整料:4,000円/月 |
| 治療内容の詳細 | 初診時15歳の女性で、上の歯のがたつき、かみ合わせ、歯の中心のズレ、鼻から下が長いのを気にされ来院されました。 検査の結果、上顎前歯部叢生および開咬を伴うアングルⅠ級不正咬合と診断しました。 治療としては、非抜歯の上、マウスピース型矯正装置(インビザライン)で配列を行いました。顎間ゴムの協力もあり、開咬、中心のズレがきれいに改善されました。 治療期間は、2年でした。 |
||
患者さんには以下の矯正治療に伴うリスクや
副作用を説明し、ご理解の上で治療を行いました。