MENU
CLOSE
ホーム
矯正について
› 矯正治療とは
› 始める時期
› 当院の考え
› こどもの時期に始めるメリット
› こどもの矯正
› おとなの矯正
治療
› 治療の流れ
› 治療内容
治療例
料金
スタッフ
アクセス
コラム
おすすめコラム
電話でのご予約
0596-26-0888
治療例
CASE
ホーム
›
治療例
›
マウスピース型矯正装置(インビザラインファースト)
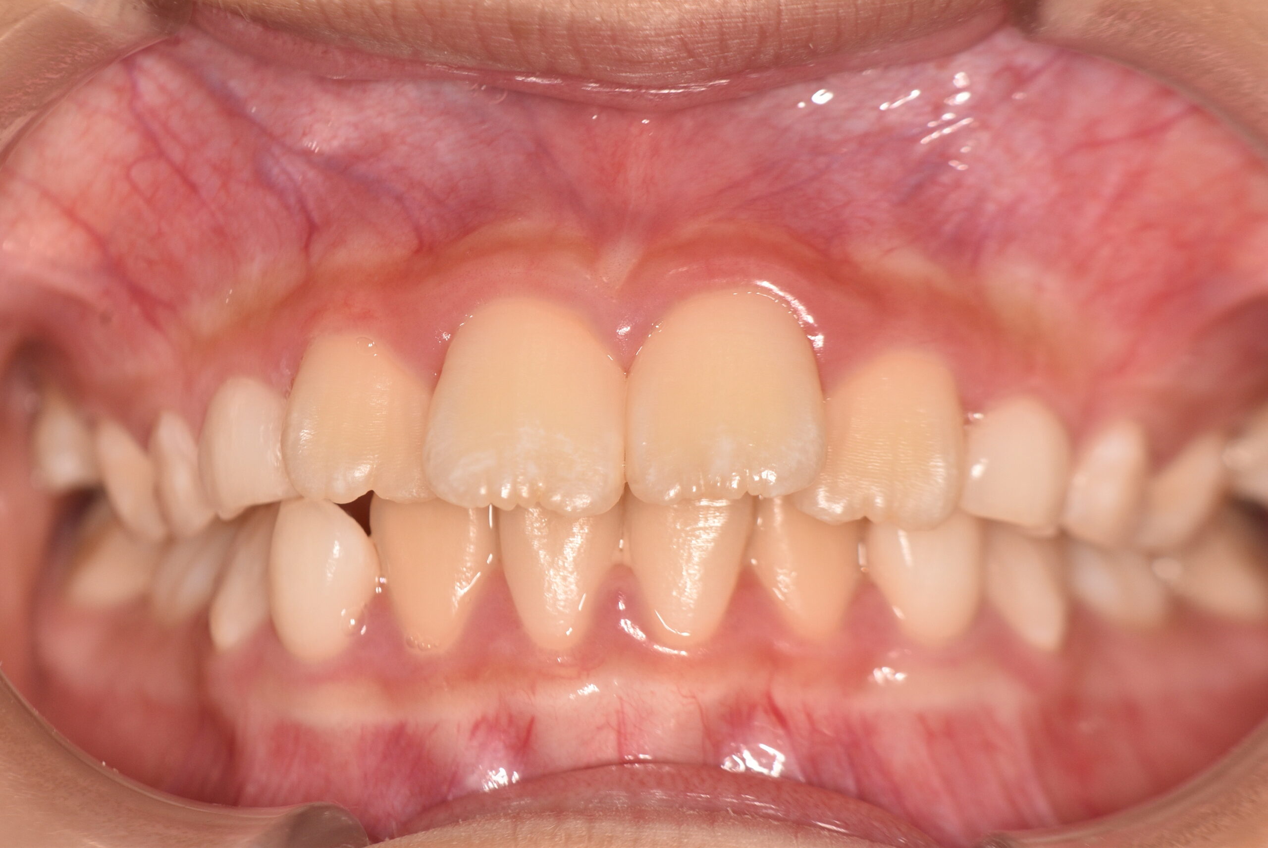
マウスピース型矯正装置(インビザラインファースト)
BEFORE
マウスピース型矯正装置(インビザラインファースト)
非抜歯
初診時年齢:8歳
治療期間:1年9か月
BEFORE
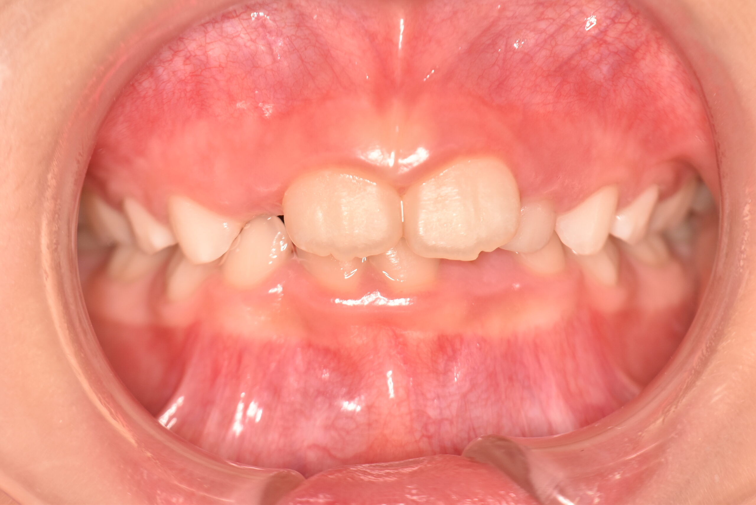
マウスピース型矯正装置(インビザラインファースト)
初診時年齢:9歳3ヶ月
治療期間:1年6ヶ月
BEFORE
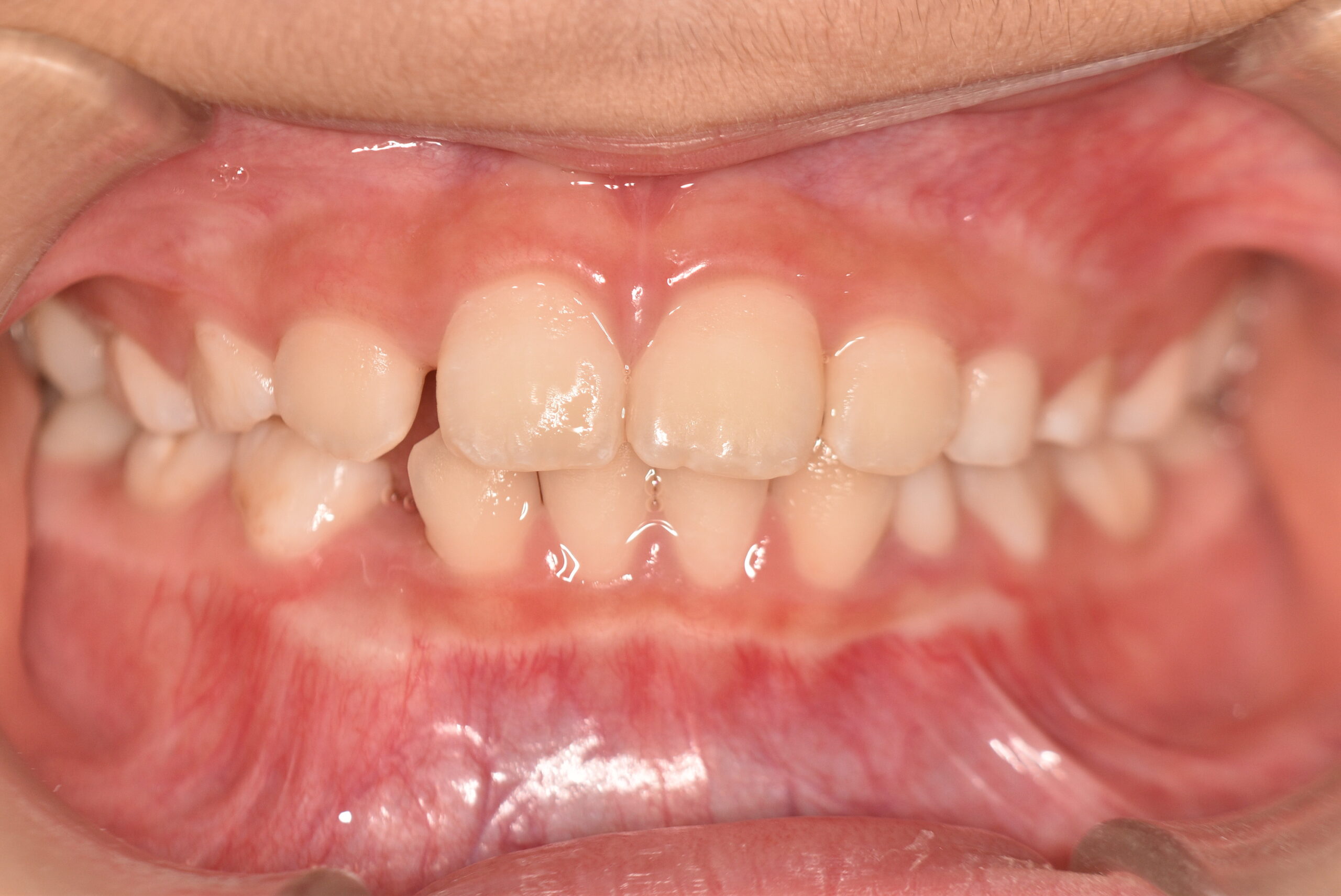
マウスピース型矯正装置(インビザラインファースト)
初診時年齢:7歳10ヶ月
治療期間:1年6ヶ月
BEFORE
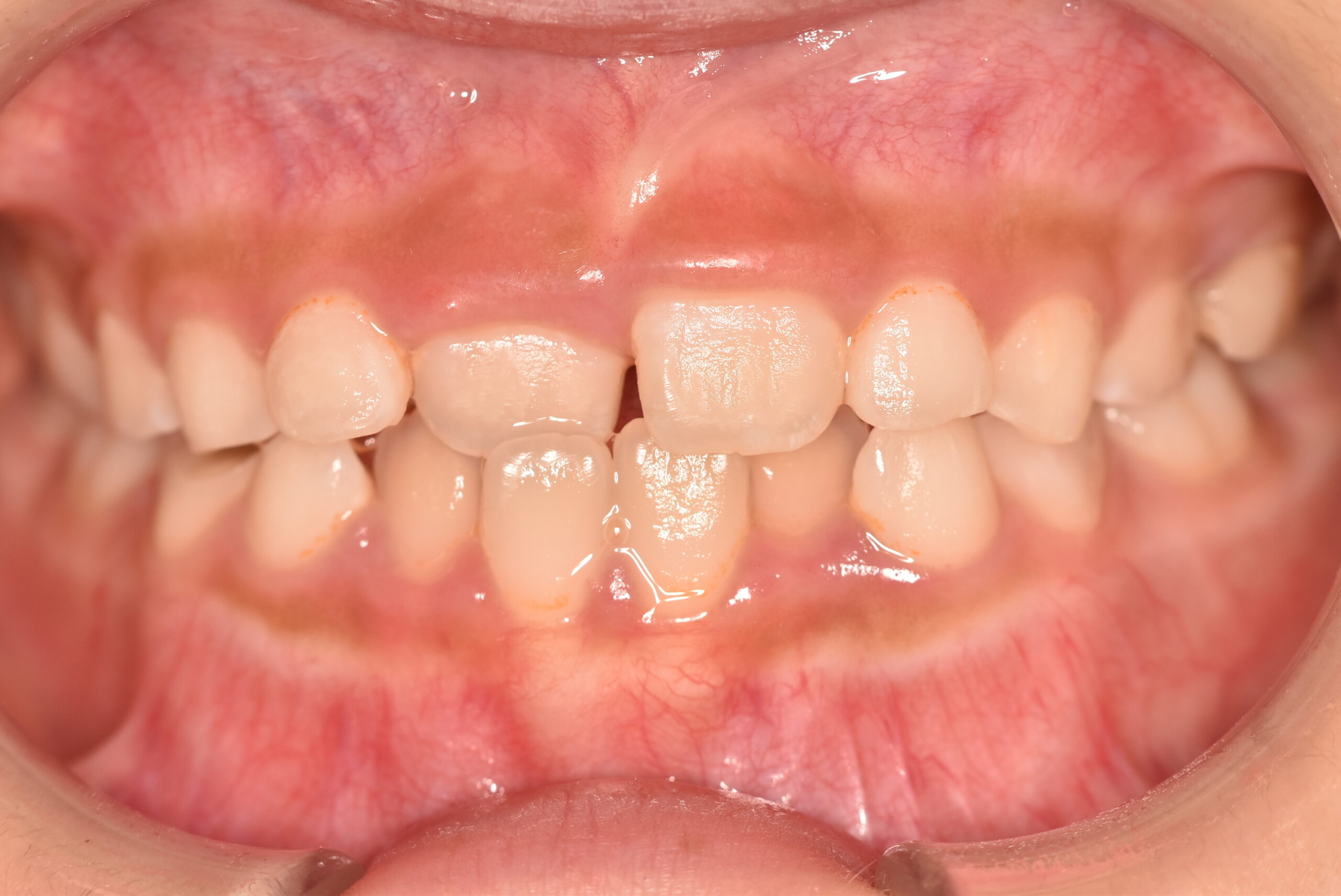
マウスピース型矯正装置(インビザラインファースト)
初診時年齢:8歳6ヶ月
治療期間:8ヶ月
BEFORE
マウスピース型矯正装置(インビザラインファースト)
初診時年齢:8歳3ヶ月
治療期間:6ヶ月
BEFORE
マウスピース型矯正装置(インビザラインファースト)
初診時年齢:7歳9ヶ月
治療期間:1年6ヶ月
BEFORE
マウスピース型矯正装置(インビザラインファースト)
初診時年齢:9歳
治療期間:7ヶ月
BEFORE
マウスピース型矯正装置(インビザラインファースト)
初診時年齢:7歳
治療期間:1年
BEFORE
マウスピース型矯正装置(インビザラインファースト)
初診時年齢:9歳
治療期間:7ヶ月
BEFORE
マウスピース型矯正装置(インビザラインファースト)
初診時年齢:8歳
治療期間:9ヶ月
BEFORE
マウスピース型矯正装置(インビザラインファースト)
初診時年齢:8歳
治療期間:6ヶ月
BEFORE
すきっ歯・正中隔離
マウスピース型矯正装置(インビザラインファースト)
非抜歯
初診時年齢:21歳
治療期間:1年9か月
一覧へもどる
採用情報
RECRUIT
Copyright (C)
きくち矯正歯科
. All Rights Reserved.